Update on Management of Cervical Cancer

Obstetrics and Gynecology
Read in Ukrainian

1. Introduction

Cervical cancer is the fourth most common malignancy in women with 528,000 new cases and 266,000 deaths globally in 2012 [1]. More than 85% of cervical cancer related deaths occur in underdeveloped regions of the world [1]. Human papillomavirus (HPV) exposure is an essential step in cervical cancer pathogenesis, but malignant transformation requires integration of the viral genome into the host genome, whereupon production of E6 and E7 oncoproteins interfere with the cell cycle control proteins p53 and pRb [2, 3].
Nearly all cases of cervical cancer are associated with persistent infection by high-risk HPV [2]. Specifically, HPV subtypes 16, 18, 31, 33, 35, 45, 52, and 58 are the most virulent forms and account for as much as 86% of the worldwide incidence of invasive cervical cancer [4]. Risk factors for the development of cervical cancer include younger age at coitarche [5], multiple sexual partners [6], history of sexually transmitted disease [7], and smoking [8]. Immunosuppression is an important risk factor for development of cervical cancer, and the diagnosis itself might define an underlying AIDS illness [9]. Other risk factors include low income [10] and low educational status [11].

2. Cervical cancer natural history

Development of preinvasive disease follows a stepwise neoplastic process instigated by acquisition of oncogenic HPV, which are non-enveloped viruses that utilize double-stranded closed circular DNA to replicate in the mucosal epithelium of the cervix [12]. HPV DNA encodes six early proteins (E1, E2, E4, E5, E6, and E7) and two late proteins (L1 and L2) that use the host cell molecular pathways to synthesize and package DNA [12]. The E6 oncoprotein binds p53, causes its degradation, and interrupts the G1/S-phase cell cycle check point [13-15]. The E7 oncoprotein degrades hypophosphorylated retinoblastoma protein which then leads to unchecked activation of the synthesis cell transcription factor (E2F) [16-18] and ultimately results in upregulation of CDKN2A and accumulation of p16INK4a in the cell [19].
p16INK4a overexpression can be considered a marker not only of HPV infection, but also of activated expression of viral oncogenes and of virus-induced deregulation of the cell cycle. Clinically, the use of p16INK4a as a biomarker has been shown to improve the specificity of the diagnosis of high-grade dysplasia [20].
This molecular pathway leads to histologic evidence of preinvasive disease classified as low-grade squamous intraepithelial lesions (LSIL), indicating microscopic acute HPV infection, and high-grade squamous intraepithelial lesions (HSIL), indicating precancerous lesions, per the Lower Anogenital Squamous Terminology Standardization Project (LAST) guidelines [21].
The central components of the LAST guidelines include a 2-tiered nomenclature that distinguishes histologic LSIL and histologic HSIL and recommendations for the use of adjunctive p16 immunohistochemistry to assist interpretation. Histologically, HSIL correlates with cervical intraepithelial neoplasia grade 3 (CIN 3) and most cases of CIN grade 2 (CIN 2). The progression of preinvasive disease to carcinoma is less predictable but since it generally takes years for the progression to take place, screening is highly effective.

3. Prevention and screening

3.1 Vaccination
HPV vaccination prior to exposure is effective at preventing infection and subsequent cancers caused by the covered HPV subtypes [22, 23]. Since 2006, three HPV vaccines have been available globally which cover 70% to 90% of HPV-strains known to be associated with cervical cancers: a bivalent HPV vaccine (Cervarix; GlaxoSmithKline, Rixensart, Belgium) that targets HPV 16 and 18, a quadrivalent HPV vaccine (Gardasil; Merck & Co, Inc., Whitehouse Station, NJ) that targets HPV 6, 11, 16, and 18, and a nonavalent HPV vaccine (Gardasil 9, Merck & Co, Inc., Whitehouse Station, NJ) that targets subtypes 6, 11, 16, 18, 31, 33, 45, 52, and 58.
Immunogenicity of each vaccine has been proven with over 93% of females aged 15 to 26 seroconverting in initial immunogenicity trials of bivalent and quadrivalent vaccines; antibody concentrations remained 12-fold or more higher than after natural infection at 9 years post-vaccination [24, 25]. Response to the nonavalent HPV vaccine is comparable to the quadrivalent vaccine with 100% seroconversion to all 9 serotypes. In addition, receiving two doses of the nonavalent vaccine 6 to 12 months apart was not inferior to a three-dose regimen [26]. All three vaccines have large scale documentation of safety and multiple analyses have found no difference in severe events including new onset autoimmune diseases or medically significant conditions for those receiving HPV vaccine versus other inactivated viral vaccines [27, 28].
Most recently, a Swedish study of over 1.6 million girls and women aged 10 to 30 years reported a significantly lower incidence of cervical cancer among those who were vaccinated compared to those who had not been vaccinated, with a cumulative incidence of 47 versus 94 per 100,000 persons respectively [29].
3.2 Screening
Screening has been shown to reduce cervical cancer incidence by more than 80% [30]. While Pap testing to look for cytologically abnormal cells has been the cornerstone of many screening programs, it has low sensitivity and is resource intensive. A one-time cytology has been reported to have a sensitivity and specificity of 51% to 53% and 96% to 98% respectively [31, 32].
The standard terminology used in cytology reporting is based on the 2014 Bethesda system which describes specimen adequacy as well as cytologic abnormality including atypical squamous cells of undetermined significance (ASCUS), atypical squamous cells cannot rule out high-grade squamous intraepithelial lesion (ASC-H), LSIL, HSIL, atypical glandular cells (AGC), endocervical adenocarcinoma in situ (AIS), adenocarcinoma, and squamous cell carcinoma [33]. Given that persistent infection with high-risk HPV is necessary for progression to cancer, HPV DNA testing has been adopted as a primary screening method in some countries [34-36] with a sensitivity and specificity of greater than 96% and 93%, respectively [37].
Here, we will present the American Society for Colposcopy and Cervical Pathology (ASCCP) 2019 risk-based cervical cancer screening guidelines as an example but we encourage the reader to review the screening guidelines pertinent to their local practice. Currently, the most recent risk-based management consensus guidelines use risk and clinical action thresholds to determine the appropriate course of management for cervical screening abnormalities [36]. These guidelines accommodate the three approved primary screening strategies in the United States to triage patients to colposcopy for diagnostic evaluation: HPV with cytology (i.e., cotesting), HPV testing with genotyping and reflex cytology (i.e., primary HPV testing), and cytology alone [38, 39].
New data indicate that a patient’s risk of developing cervical precancer or cancer can be estimated using current screening results and previous screening test and biopsy results, while considering personal factors such as age and immunosuppression [36]. For each combination of current test results and screening history (including unknown history), the immediate and 5-year risk of CIN 3+ is estimated. With respect to risk, the following concepts underly the changes from the 2012 Guidelines:
  1. Negative HPV tests reduce risk.
  2. Colposcopy performed for low-grade abnormalities, which confirms the absence of CIN 2+ reduces risk.
  3. A history of HPV-positivity increases risk, even when the current result is negative.
  4. Prior treatment for CIN 2 or CIN 3 increases risk
Once an individual’s risk is estimated, this is then compared to one of the six proposed “Clinical Action Thresholds”: treatment (60%-100% immediate CIN 3+ risk), optional treatment or colposcopy/biopsy (25%-59% immediate CIN 3+ risk), colposcopy/biopsy (4%-24% immediate CIN 3+ risk), 1-year surveillance (≥0.55% 5-year CIN 3+ risk), 3-year surveillance (0.15%-0.54% -year CIN 3+ risk), or 5-year return to regular screening (<0.15% 5-year CIN 3+ risk) [36, 40].

4. Clinical presentation and diagnostic evaluation

4.1 Symptoms and signs
Aside from abnormal cytology and/or HPV testing, cervical dysplasia and cancer present most often with abnormal and/or malodorous vaginal discharge, postcoital bleeding, or intermenstrual bleeding. At later stages, patient may also complain of pelvic pain, urinary dysfunction, or changes in bowel habits. Fortunately, the “classic triad” of advanced cervical cancer with sciatic pain, leg swelling, and hydronephrosis is less commonly encountered in regions with adequate screening available. Lymph node involvement might present with back pain or unilateral leg swelling.
On speculum exam, the cervix may have a necrotic or friable lesion and/or abnormal contour. A careful bimanual exam as well as a rectovaginal exam is important in the identification of parametrial, sidewall, and uterosacral ligament involvement. Occasionally, an endophytic tumor may produce an enlarged, nodular, and indurated cervix covered by intact epithelium and create a “barrel shaped cervix” on exam. The groin, femoral, and supraclavicular regions should also be examined for lymphadenopathy.
Any suspicious cervical lesion and/or persistent unexplained symptoms of vaginal discharge or bleeding warrants histologic diagnosis with either colposcopic biopsy or excision, along with an endocervical curettage. Cytology alone in these situations is not adequate as the false-negative rate of a Pap smear in the setting of invasive cancer is up to 50% [41].
4.3 Colposcopy
Colposcopic examination provides magnification for visual diagnosis and facilitates biopsy of suspicious precancerous or cancerous lesions [42]. This is usually the first diagnostic tool used in women with an abnormal screening test. Acetic acid or Lugol’s solution is used to highlight dysplastic changes such as acetowhite plaques or vascular abnormalities suggestive of high-grade lesions. The colposcope provides magnification (up to 30x) for visual inspection. Colposcopic diagnosis of cervical neoplasia relies on recognition of four main features: color, tone, and intensity of acetowhitening, margins and surface contour of acetowhite areas, vascular pattern, and iodine staining. Colposcopy with directed biopsy is the gold standard for the diagnosis of cervical precancer and sensitivity ranges from 87% to 99% and specificity between 23% and 87% [43, 44].
Detailed description on colposcopy standards have been outlined by ASCCP [45, 46]. It is recommended that practitioners follow the standardized terminology and include the six main components:
  1. general assessment,
  2. evaluation for presence of any acetowhite lesions,
  3. description of normal colposcopic findings,
  4. description of abnormal colposcopic findings,
  5. description of other/miscellaneous findings,
  6. reporting of the colposcopic impression, defined as the highest-grade impression of any visible lesion on the cervix.
A comprehensive colposcopic examination should include description of the cervix visibility, squamocolumnar junction visibility, presence of acetowhitening, presence and visualization of a lesion, color/contours/borders/vascular changes of lesions, the location and size(s) of lesion(s), other features, and the colposcopic impression. A diagram or marked image annotating the findings should also be included. Minimum criteria for reporting findings at colposcopic examination should include the following: squamocolumnar junction visibility (fully/not fully), acetowhitening (yes/no), lesion (s) present (acetowhite or other) (yes/no), and colposcopic impression (normal/benign, low-grade, high-grade, or cancer). Standards in many other countries do include training and generally stipulate that all clinicians who perform colposcopic examinations should have completed a formal colposcopic training program conducted by expert trained personnel whose clinical competence and teaching abilities are well-documented [47].
4.4 Diagnostic biopsy and reporting of pathology
Colposcopic cervical biopsies should be directed to the most significant lesions through the colposcope. Concordance between colposcopy-directed biopsies and excisional specimens has been reported between 42% to 72% and underestimation by biopsy for high-grade dysplasia or adenocarcinoma in situ ranges from 12% to 42% [48-52]. Given the wide range of accuracy, it is recommended that multiple biopsies (at least 2 and up to 4) targeting all areas with acetowhitening, metaplasia, or higher abnormalities are performed [45]. In patients at low risk (i.e., those with less than HSIL cytology, no evidence of HPV16/18, and normal colposcopic impression), non-targeted biopsies are not recommended [45].
Results of cervical biopsy should be reported using a 2-tiered pathology criteria (CIN 1 or CIN 2/3) for evaluating histologic specimens obtained via colposcopic evaluation based on the LAST Project guidelines, LSIL and HSIL [53]. An old 3-tiered pathology classifying lesions as CIN with three grades, CIN 1(mild dysplasia), CIN 2 (moderate dysplasia), and CIN 3 (severe dysplasia/carcinoma) is less commonly used today due to its subjectivity as well as heterogeneity in the microscopic diagnosis, biology, and clinical behavior of CIN 2 lesions [54, 55]. p16 immunohistochemistry, a tissue marker of HPV oncogene overexpression and transformation, has been used to assist with histologic interpretation [53]. p16 IHC is recommended when the morphologic differential diagnosis is between precancer (CIN 2 or CIN 3) and a mimic of precancer (e.g., immature squamous metaplasia, atrophy, reparative epithelial changes, tangential cutting).

5. Treatment of Cervical Intraepithelial Neoplasia

Treatment options for preinvasive cervical intraepithelial neoplasia include ablative procedures (i.e., cryoablation, electrocoagulation, CO2 laser) and excisional procedures (i.e., cold knife conization, loop electrocautery procedure).
Ablative procedures are usually reserved for individuals meeting the following criteria:
  1. the entire transformation zone can be visualized (i.e., satisfactory colposcopy),
  2. there is no suggestion of micro-invasive or invasive disease,
  3. there is no suspicion of glandular disease,
  4. there is no discordance between cytology and histology.
  • Cryosurgery: Compressed nitrous oxide is evaporated through a small jet producing hypothermia (approximately -70 °C) on the metal probe which is in contact with the surface of the cervix. This causes crystallization of the intracellular water and results in cell death. A depth of 5mm and lateral spread of 7mm of freezing around the lesion is required. Thus, this is usually reserved for small low-grade lesions without extension into the endocervical canal. However, in one retrospective study, cryosurgery was found to be associated with the highest rate of post-therapy persistent or recurrent disease when compared to other procedures (adjusted odds ratio for invasive cancer = 2.9; 95%CI 2.1-4.6) [56].
  • Loop Electrocautery Excision Procedure (LEEP): Using thermal energy delivered through a thin wire loop, this has been demonstrated to be as effective as cold knife conization [57] and CO2 laser vaporization [58]. An advantage is that this can be performed as an outpatient office procedure, is associated with low cost, and is technically easier than conization. One disadvantage is that thermal artifact may obscure margin status.
  • Cold knife conization: This procedure is performed in the operating room with a scalpel. A 2 cm cone height is generally recommended as small cone height is associated with positive margins [59]. (Figure 1)
Figure 1. Illustration of cold knife cone: (a) Cervix after excision, (b) 2cm cone height, and (c) face surface of cone specimen
A Cochrane Systematic Review examined evidence from 29 trials to assess the effectiveness and safety of various surgical treatments for preinvasive cervical intraepithelial neoplasia [60]. While there were no significant differences with respect to persistent disease after treatment, LEEP was associated with the most reliable specimens for pathologic analysis with the least morbidity. Complications from the aforementioned surgical procedures include vaginal bleeding, preterm delivery, and cervical stenosis [61].

6. Workup and staging of invasive disease

Staging of cervical cancer by the International Federation of Gynecology and Obstetrics (FIGO) was updated in 2018 to allow for incorporation of imaging and/or pathologic findings, and clinical assessment of tumor size and disease extent (Table 1) [62].
The key amendments in the 2018 staging system include
  1. allowing the use of any imaging modality and/or pathologic findings for allocating the stage,
  2. in stage I, amendments to microscopic pathologic findings and to size designations,
  3. allowing assessment of retroperitoneal lymph nodes by imaging and/or pathologic findings and if deemed metastatic, the case is designated as stage IIIC (with notation of method used for stage allocation) [62].
The revised staging system reflects the relatively predictable patterns of spread of cervical cancer, as pelvic lymph node metastases are uncommon in the absence of deep stromal invasion [63-65] and paraaortic lymph node metastases are rare when pelvic lymph nodes are uninvolved [66, 67].
In comparison to the previous 2009 FIGO staging system, in stage IA, the lateral extent of the lesion no longer affects staging, and stage IB is divided into three subgroups. For stage IIIC, identification of retroperitoneal lymph node involvement, either pelvic (IIIC1) or para-aortic (IIIC2), can be made either radiologically (r) or pathologically (p). Although lymphovascular involvement affects prognosis, it does not alter the stage.
Table 1: FIGO 2018 Cervical Cancer Staging
Stage I: The carcinoma is strictly confined to the cervix uteri (extension to the corpus should be disregarded)
• IA Invasive carcinoma that can be diagnosed only by microscopy, with maximum depth of invasion <5 mm
– IA1 Measured stromal invasion <3 mm in depth
– IA2 Measured stromal invasion ≥3 mm and <5 mm in depth
• IB Invasive carcinoma with measured deepest invasion ≥5 mm (greater than stage IA), lesion limited to the cervix uteri
– IB1 Invasive carcinoma ≥5 mm depth of stromal invasion and <2 cm in greatest dimension
– IB2 Invasive carcinoma ≥2 cm and <4 cm in greatest dimension
– IB3 Invasive carcinoma ≥4 cm in greatest dimension
Stage II: The carcinoma invades beyond the uterus, but has not extended onto the lower third of the vagina or to the pelvic wall
• IIA Involvement limited to the upper two‐thirds of the vagina without parametrial involvement
– IIA1 Invasive carcinoma <4 cm in greatest dimension
– IIA2 Invasive carcinoma ≥4 cm in greatest dimension
• IIB With parametrial involvement but not up to the pelvic wall
Stage III: The carcinoma involves the lower third of the vagina and/or extends to the pelvic wall and/or causes hydronephrosis or non‐functioning kidney and/or involves pelvic and/or paraaortic lymph nodes
• IIIA Carcinoma involves the lower third of the vagina, with no extension to the pelvic wall
• IIIB Extension to the pelvic wall and/or hydronephrosis or non‐functioning kidney (unless known to be due to another cause)
• IIIC Involvement of pelvic and/or paraaortic lymph nodes, irrespective of tumor size and extent
– IIIC1 Pelvic lymph node metastasis only
– IIIC2 Paraaortic lymph node metastasis
Stage IV: The carcinoma has extended beyond the true pelvis or has involved (biopsy proven) the mucosa of the bladder or rectum. A bullous edema, as such, does not permit a case to be allotted to stage IV
• IVA Spread of the growth to adjacent organs
• IVB Spread to distant organs
Reflected in the staging is the predictable spread of disease. Direct invasion of malignant cells through the basement membrane to the underlying stroma is the defining characteristic of invasive cervical carcinoma. Once through the stroma, malignant cells may infiltrate laterally beyond the cervical stroma into the parametrium and inferiorly down the vagina (Stage II). As the disease extends locally, the lateral side walls can become involved causing hydronephrosis and tumor may travel even further down the lower vagina (Stage IIIA/B). The second method of spread is through the lymphatics following drainage from the obturator nodes, followed by the pelvic side wall (along the internal and external iliacs) to the common iliac (Stage IIIC1) and then the para-aortics (Stage IIIC2). Tumor cells are also occasionally seen in the parametrial lymphatic channels. Lymphatic spread is also responsible for ovarian involvement, although this is uncommon (0.5% in squamous histology and 1.2% in adenocarcinoma) [68].
Notably, ovarian involvement is not included in the staging criteria. Stage IVB which involves the bladder and rectum, is a result of more extensive direct invasion. Finally, Stage IVB disease involving distant organs is a result of hematogenous spread and metastases to lung, liver, and bone are the most common among distant metastases.
As part of the FIGO 2018 staging system, providers and patients may consider an examination under anesthesia which allows for pelvic and rectovaginal examination without patient discomfort, as well as cystoscopy, proctoscopy, and additional biopsies as needed. Laboratory workup include sa complete blood count to assess for anemia and thrombocytopenia, chemistry panel to assess renal insufficiency, and liver profile prior to chemotherapy initiation if indicated. Cervical cancer is an AIDS defining disease, thus HIV testing is recommended.
The use of imaging allows for correlation of clinical findings with respect to tumor size and locoregional extension. Furthermore, it allows for evaluation of lymph node metastases. When the prior FIGO staging system, which is based on clinical evaluation only, was compared to operative staging, it was found that patients were understaged in 30%, 25%, and 40% for stage IB, IIB, and IIIB respectively [69]. The ability of MRI and CT to identify lymph node involvement was reported to be 37% and 31%, respectively [70]. Clinical staging had worse sensitivity (29%) than CT (42%) and MRI (53%) for advanced stage disease, which prompted the inclusion of imaging with the most recent FIGO staging. Imaging studies may include chest x-ray, intravenous pyelography, cystoscopy, sigmoidoscopy, barium enema, computed tomography scan, positron emission tomography and magnetic resonance imaging. While MRI and CT are similar in their ability to identify lymph node metastases, MRI is superior in assessing tumor size and parametrial extension (Figure 2) [71, 72]. PET has been shown to be more sensitive (75%) and specific (92%) for para-aortic nodal involvement, which portends a poorer prognosis and overall survival [73-75].
Figure 2. MRI demonstrating extension of a cervical tumor along the anterior vaginal wall (a) and the left parametria (b).

7. Pathology

7.1 Squamous Intraepithelial Lesions
HPV infection may lead to the development of a low-grade (CIN 1) or high-grade squamous intraepithelial lesion (CIN 2 or 3). LSIL development may follow infection by low-risk or high-risk HPV and is thought to depend somewhat on the specific cell population infected (e.g., high-risk HPV infections in the ectocervix, away from the transformation zone, may produce an LSIL-type lesion). LSIL may present colposcopically and microscopically as a flat lesion (Figure 3) or as an exophytic condyloma (Figure 4).
Figure 3
Figure 4
Histologically, the basal layer is somewhat disordered but cytologically bland. There is maturation toward the epithelial surface, where koilocytes may be prominent (Figure 5).
Figure 5
Mitoses may be seen in the parabasal epithelial layers, but should generally not be prominent in the apical half of the epithelium. A Ki67 immunostain characteristically highlights cells throughout the epithelial thickness, including large, atypical (often frankly koilocytic) cells in the upper epithelial layers. Conversely, p16 immunohistochemistry may be negative, patchy, or diffusely positive, and therefore plays no significant role in diagnosis of morphologically classical LSIL.
High-risk squamous intraepithelial lesion (HSIL) is associated with infection by high-risk HPV serotypes. HSIL typically presents as a flat lesion (Figure 6), but may also be exophytic, where the colposcopic and microscopic distinction from papillary squamous cell carcinoma (see below) may be challenging.
Figure 6
Histologically, HSIL is characterized by significant architectural disorder, cell crowding, and cytologic atypia in the basal layer. There is generally impaired (CIN 2) or no (CIN 3) maturation toward the epithelial surface, and mitoses are frequently conspicuous in the superficial epithelial layers. Microscopic involvement of endocervical crypts is common (Figure 7) and should be noted in the pathology report.
Figure 7
A Ki67 immunostain is typically briskly positive throughout the epithelial thickness. Strong diffuse p16 positivity (particularly in the lower epithelial layers, but often throughout the full epithelial thickness) is characteristic of HSIL and has a high negative predictive value in distinction of HSIL from reactive epithelial atypia or LSIL.
7.2 Squamous Cell Carcinoma
Squamous cell carcinoma is the most common histological subtype of cervical cancer. Squamous cell carcinoma of the cervix is most commonly linked to HPV 16 infection, although multiple other high-risk HPV serotypes are also associated with squamous cell carcinoma, including HPV 18, 31, 33, and 45, among others.  Grossly, tumors may be firm indurated masses, polypoid, or ulcerated. Histologically, squamous cell carcinoma appears as infiltrative sheets and irregular nests of angulated to round cells with coarse chromatin and nucleoli (Figure 8A, 8B). Necrosis is common [76].
Figure 8
Pronounced desmoplastic stromal reaction may be visible around cell nests (Figure 9A, 9B, arrow). Lymphovascular space invasion may also be present, especially in more deeply invasive carcinomas.
Figure 9
Invasive squamous cell carcinomas are classified into keratinizing and non-keratinizing based on presence or absence of keratin pearls. Invasive squamous cell carcinomas are also graded based on a modified Broder system [77]: grade 1 tumors show mature squamous cells with abundant keratin, intercellular bridges, little pleomorphism, and low mitotic rate; grade 2 tumors have higher nuclear-to-cytoplasmic ratio, greater nuclear pleomorphism, and less well-defined cell borders and high mitotic activity; grade 3 tumors have little squamous differentiation, high mitotic rate, and severe nuclear atypia. Interesting, a Gynecologic Oncology Group study showed that grading was not predictive for nodal spread or progression-free survival [78].
7.3 Squamous Cell Carcinoma Variants
Papillary squamous cell carcinoma appears as an exophytic papillary tumor with fibrovascular cores lined by squamous cells. While the architecture may appear vaguely condylomatous, papillary squamous cell carcinoma shows full-thickness high-grade atypia, without significant koilocytic changes [79]. Immunohistochemistry is typically negative for cytokeratin 20 and positive for cytokeratin 7, p63, and p16 [79, 80].
Transitional cell carcinomas resemble papillary transitional cell tumors of the urinary tract [81] and share a similar immunohistochemical staining pattern as papillary squamous carcinomas. They are aggressive and often present at advanced stages and are commonly associated with recurrence and metastases. It has been proposed that a combined classification of papillary squamotransitional cell carcinoma be used as there are a significant number of tumors which exhibit features that are intermediates between squamous papillary and transitional cell carcinoma [79].
Clinically, papillary squamous cell and transitional cell carcinomas are commonly associated with underlying invasive carcinoma, local relapse, and metastases. Thus, superficial biopsies may be insufficient and excisional procedures should be done to exclude invasive cancer. Other rare tumors with aggressive behavior include warty carcinoma, spindle cell squamous cell carcinoma, lymphoepithelioma-like carcinoma, highly differentiated keratinizing squamous cell carcinoma, and verrucous carcinoma [76].
7.4 Adenocarcinoma and its variants
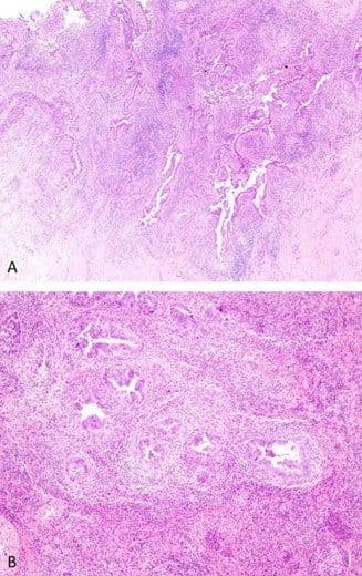
The incidence of adenocarcinoma has risen in recent decades, such that it now accounts for 25% of cervical carcinomas [82]. Endocervical adenocarcinoma may be associated with the same spectrum of high-risk HPV serotypes seen in squamous cell carcinoma. However, HPV 18 is significantly more common in adenocarcinoma than in squamous cell carcinoma. Up to 70% of endocervical adenocarcinoma and adenocarcinoma in situ is associated with a high-grade squamous lesion. Such cases are thought to arise from divergent tumor differentiation following a single high-risk HPV infection.
Adenocarcinoma in situ (AIS) is the precursor of invasive endocervical adenocarcinoma. Microscopically, AIS has preserved endocervical gland architecture (Figure 10) but with varying degrees of atypia (e.g., nuclear enlargement and stratification, nuclear hyperchromasia, apical mitotic figures, and basal apoptoses) (Figure 11A, 11B).
Figure 10
Figure 11
Partial gland involvement by AIS is common and can be highlighted by positive p16 immunostaining in the lesional cells (Figure 12A, 12B). AIS is most commonly identified at the transformation zone and may spread up to 3 cm upward in the endocervical canal [83]. Importantly, AIS may be multifocal, and it is not unusual to find residual tumor after negative conization margins [84].
Figure 12
Distinguishing florid AIS from well-differentiated expansile endocervical adenocarcinoma may be challenging, as it may be difficult to reproducibly define what constitutes “preserved endocervical gland architecture” in a particular patient. In such difficult cases, features which would favor a diagnosis of adenocarcinoma over AIS include a higher concentration of cytologically malignant glands, often with small sizes and variable shapes; glands that have grown together in a confluent pattern; and/or glands that are irregular in orientation with underlying stromal response [76].
Furthermore, in cases with focal stromal invasion, a confident diagnosis of microinvasive (FIGO stage IA1) endocervical adenocarcinoma may be challenging, as the architectural complexity of the endocervical glands may make it difficult to identify the nearest basement membrane from which to properly measure depth of invasion. The Silva classification system for endocervical adenocarcinoma has been proposed to address some of these difficult situations [85].
Most endocervical adenocarcinomas are of usual type, characterized by predominantly glandular, papillary, and/or cribriform architecture, diminished cytoplasm (often with a deep red hue), hyperchromatic nuclei, prominent apical nuclei, and basal apoptoses, as seen in AIS. Growth patterns may be expansile (Figure 13), infiltrative with stromal desmoplasia (Figure 14A, 14B), or mixed.  Usual-type endocervical adenocarcinoma is almost invariably HPV-associated, and HPV infection can be definitively demonstrated in the vast majority of cases.
Figure 13
Figure 14
Villoglandular adenocarcinoma is another HPV-associated variant of endocervical adenocarcinoma. These present as polypoid or papillary endocervical masses, predominantly in young women, and often associated with oral contraceptive use [86]. Microscopically, villoglandular adenocarcinoma shows long slender villous structures lined by a single epithelial layer with variable endocervical, endometrial, or intestinal differentiation. Nuclei are only mildly atypical with infrequent mitotic figures.
Approximately half of endocervical adenocarcinomas with intestinal-type differentiation are HPV-associated, whereas the other half appear to arise through non-HPV-related pathways. These tumors show a colorectal immunoprofile, and metastasis or direct extension from a colorectal primary must be excluded clinically.
Endocervical adenocarcinomas with gastric differentiation are non-HPV-related, and range from extremely well-differentiated (termed “adenoma malignum” or “minimal deviation adenocarcinoma”) to poorly differentiated signet ring cell carcinomas. These tumors are rare (approximately 10% of endocervical adenocarcinomas) and may be difficult to distinguish from metastatic gastric or pancreaticobiliary carcinoma. Minimal deviation adenocarcinoma is associated with Peutz-Jeghers syndrome [87, 88].
Non-mucinous adenocarcinomas of the cervix include endometrioid, clear cell, papillary serous, and mesonephric carcinoma. Endometrioid variant shares features with endometrioid cancers of the uterus and primary endometrial adenocarcinoma with endocervical extension or drop metastases must be considered and excluded. Immunohistochemical staining could be helpful as primary endocervical adenocarcinomas are more likely positive for CEA and p16 but negative for vimentin, estrogen and progesterone receptors [89, 90].
Furthermore, HPV DNA is detected in at least two thirds of endocervical adenocarcinomas but not in primary endometrial tumors [91]. Clear-cell variant can be associated with intrauterine diethylstilbestrol exposure. Morphologically, cells have clear cytoplasm with hobnail features, increased nuclear/cytoplasmic ratio, and hyperchromasia. Clear cell carcinomas are not associated with HPV [92]. Papillary serous variant is histologically similar to serous tumors of the ovary and endometrium, thus exclusion of metastasis or extension is important [93].
Other malignant tumors of the cervix are rare entities. Adenosquamous carcinoma demonstrates both squamous and glandular differentiation and is associated with high tumor grade and vascular invasion. Diagnosis of neuroendocrine carcinomas of the cervix is usually assisted with immunohistochemical staining of chromogranin or synaptophysin, and HPV integration, in particular HPV 16, has been identified [94]. Glassy cell is characterized by solid sheets of pleomorphic cells with distinct cellular borders, abundant granular ground-glass cytoplasm, prominent nucleoli, high mitotic rate, and eosinophilic cytoplasm. Glassy cell carcinomas have an aggressive course and are generally not radiation-sensitive [95].
Lastly, adenoid basal carcinoma and adenoid cystic carcinoma both contain basaloid squamous and glandular elements and more commonly diagnosed in older women. However, distinction between the two is important as they have markedly different clinical courses [96]. Adenoid basal carcinomas appear as cell nests with a basaloid appearance and peripheral palisading, with rare mitoses and atypia, and tend to have an indolent behavior. Conversely, adenoid cystic carcinomas have a cribriform gland pattern with large pleomorphic nuclei and necrosis, with an aggressive behavior that leads to metastases and relapses.
7.5 Pathologic prognostic Factors
A Gynecologic Oncology Group (GOG) study looking at histopathologic predictors of surgically treated cervical cancer found that increasing depth of invasion and vascular involvement were predictive of pelvic nodal involvement as well as progression-free survival (Table 2) [78].
Table 2. Relationship between depth of invasion, pelvic nodal metastases, and progression free-survival (Adapted from Zaino et al.) [78]
% Positive Pelvic NodesP value% Progression free at 5 yearsP value
Depth 0.005 <0.0001
Inner third of stroma11 98 
Middle third of stroma17 81 
Outer third of stroma29 63 
Vascular Involvement <0.0001 <0.05
Absent11 83 
Present39 70 

8. General Treatment Recommendations by Stage

Treatment recommendations presented here are based on the National Comprehensive Cancer Network clinical practice guidelines in oncology (Version 1.2021) from the United States [97]. We encourage the reader to consult the website for updates. Recognizing that 85% of cases of cervical cancer occur in low-income and middle-income countries [98] with variable resources and access to provider expertise, we encourage the readers to adopt these guidelines based on best available evidence to their local environments as well as to consult available consensus statements which address resource-constrained settings [99].
8.1 Stage I
An important consideration to address in the management of stage I cervical carcinoma is the patient’s future reproductive plans. Fertility-sparing approaches may be considered in selected individuals after thorough counseling. In addition to fertility consideration, the patient’s comorbidities and fitness for surgery, as well as lymphovascular space involvement (LVI), factor into treatment planning.
In stage IAI, for patients who desire fertility preservation, cone biopsy with or without pelvic lymph node dissection is recommended [100-102]. In squamous lesions with less than 1mm of invasion, the risk of nodal involvement and recurrence was reported as 0.1% and 0.4% respectively [103]. For patients with negative margins and no LVI after cone biopsy, they may be observed and hysterectomy can be considered once childbearing is complete. If positive margins or LVI are present, repeat cone biopsy to rule out deeper invasion or a radical trachelectomy is recommended. For those who do not desire fertility preservation, extrafascial hysterectomy is recommended for those with negative margins and no LVI after cone biopsy and modified radical hysterectomy is recommended with lymph node dissection for those with positive margins with or without LVI.
In stage IA2, for patients who desire fertility preservation, radical trachelectomy and lymph node assessment is recommended. For invasion between 1 and 3mm, nodal involvement and recurrence was reported as 0.5% and 2% respectively [103]. For those who do not desire fertility preservation, radical hysterectomy and pelvic lymph node dissection or radiation therapy with pelvic external beam and brachytherapy are both options. Less radical surgical approaches are under investigation [104, 105]. If the surgical specimen shows negative nodes, negative margins, negative parametria, and no cervical risk factors, observation is appropriate. However, if pathologic risk factors are present (Sedlis criteria), adjuvant therapy is indicated (discussed in the next section).
8.2 Stage IB and IIA
In stage IBI disease and IB2, radical trachelectomy and pelvic with or without para-aortic lymph node dissection may be considered in those who desire fertility preservation after careful counseling. In those with tumors greater than 2 cm, there is a high risk of requiring postoperative adjuvant therapy due to pathologic risk factors (i.e., Sedlis Criteria or positive nodes). Of note, fertility sparing treatment is not appropriate for more aggressive histologies (e.g., small cell neuroendocrine, gastric type adenocarcinoma, and adenoma malignum).
For stage IBI, IB2, and IIA1, radical hysterectomy and pelvic, with or without para-aortic, lymph node dissection, is recommended, but primary chemoradiation is also an option [67]. Primary chemoradiation is most appropriate for those with stage IB3 or IIA2 disease [106, 107]. After chemoradiation, completion hysterectomy is associated with improved pelvic control, but increases morbidity with no difference in overall survival [108, 109]. Thus, adjuvant hysterectomy is not routinely performed. However, if recurrence and/or persistence of disease is identified as early as 8 to 12 weeks after therapy, there might be a role for salvage hysterectomy [110].
Adjuvant therapy is indicated based on pathologic risk factors. Pelvic external beam radiotherapy (EBRT) is recommended, with or without concurrent platinum-containing chemotherapy, for patients with stage IA2, IB, or IIA1 disease with negative lymph nodes but large primary tumors, deep stromal invasion, and/or LVI [111-115]. The Sedlis criteria is commonly used to identify patients without nodal involvement and negative surgical margins who are at “intermediate risk” and would benefit from adjuvant therapy, based on criteria established from GOG 92 [111].
If an individual has at least two of the following:
  1. greater than one-third stromal invasion,
  2. capillary lymphatic space involvement,
  3. cervical tumor diameters more than 4cm,  recurrence-free rates are 88% versus 79% with versus without adjuvant radiation [111] and there is a trend towards improved overall survival with adjuvant radiation [112].
In tailoring treatment, adenocarcinoma histology and close or positive surgical margins [116, 117] should also be considered as pathologic risk factors which increase recurrence risk. The addition of concurrent platinum-based chemotherapy to radiation in this population is currently under investigation (GOG 263). Patients are considered “high risk” if they have positive nodes, positive surgical margins, and/or a positive parametrium on their surgical specimen. Postoperative pelvic EBRT with concurrent platinum-based chemotherapy with or without vaginal brachytherapy has been shown to improve overall-survival in patients who are “high-risk (IGT0107/GOG109) [118], especially in those with lymph node involvement [119].
Neoadjuvant chemotherapy is used in areas without access to radiation but is not routinely recommended. Neoadjuvant chemotherapy followed by surgery demonstrated no difference in overall survival when compared to surgery alone for early-stage or locally advanced cervical cancer [120-124], but did reduce the need for adjuvant radiation. Response to neoadjuvant chemotherapy is prognostic for progression free and overall survival [125, 126].
8.3 Stage IIB – IV
In patients with locally advanced disease, nodal assessment either with PET/CT or surgery with lymph node dissection alone, may be helpful for treatment planning and prognosis. For patients without nodal involvement and pelvic confined disease, pelvic EBRT with concurrent platinum-based chemotherapy and brachytherapy is recommended [107, 127-130]. Chemotherapy regimens include weekly cisplatin, weekly carboplatin, or every 3-4 week cisplatin/fluorouracil, given during radiation. Cisplatin/gemcitabine and EBRT followed by two additional cycles of cisplatin/gemcitabine after RT demonstrated improved progression free survival and overall survival when compared with a standard regimen of concurrent cisplatin with pelvic EBRT [130, 131], but with increased toxicity.
For patients with positive para-aortic and pelvic lymph nodes, extended-field EBRT, concurrent platinum-containing chemotherapy, and brachytherapy is recommended. For those with distant metastases (stage IV), platinum-based chemotherapy is recommended and EBRT may be considered and tailored for local disease and symptom control [132].

9. Principles of surgical management

9.1 Classification of radical hysterectomy
A commonly used classification system for describing hysterectomy techniques is by Querleu and Morrow, from Type A to D, and is based on the lateral extent of resection [133].
Type A, which is also known as simple or extrafascial hysterectomy, involves transecting the tissues around the uterine cervix medial to each ureter. The uterine vessels are ligated at the cervicouterine junction, and minimal vaginal margin is resected.
Type B, also known as modified radical hysterectomy, involves resection through the parametria at the level of the ureter. The ureteric tunnel is opened and separated from the uterine artery above, and the parametria is resected at this level. A 2cm vaginal margin is taken. Type B is further classified into B1 and B2, depending on whether lateral paracervical lymph nodes are preserved or removed respectively. 
In type C, the parametria are removed next to the hypogastric vessels, the ureters are fully mobilized, and uterine vessels are ligated at their origin. Uterosacral ligaments are removed at the level of the rectum. The upper one-third of the vagina is removed and the bladder is completely mobilized. The subtypes C1 and C2 differentiates whether nerve bundles are preserved or disrupted respectively.
Type D, also known as extended radical hysterectomy, is rarely indicated and includes removal of the entire parametrial tissue along with hypogastric vessels and resection of adjacent fascia and muscular structures. Three-dimensional models to illustrate the anatomical landmarks better, particularly as relates to the parametrial resection, have been published to differentiate between the different types of radical hysterectomy [134].
Radical hysterectomy is associated with bladder, rectal, and sexual dysfunction secondary to disruption of the hypogastric nerve plexus. Nerve-sparing procedures aim to avoid the hypogastric nerve underneath the ureter lateral to the ureterosacral ligament when removing the cardinal and vesicouterine ligaments [135-137].
Radical trachelectomy requires amputating the uterine cervix at the level of the cervicouterine junction and preserving the uterine body. Intraoperative frozen section is required to assure negative margin prior to placement of a cerclage. Patency of the endocervical canal is important after placement of the cerclage. The uterine stump is sewn to the vagina by interrupted sutures. As mentioned previously, radical trachelectomy may be offered to patients with stage IA2 or IB1 disease (≤ 2cm) after careful counseling. With respect to subsequent pregnancies, the overall fertility, live birth, and prematurity rates have been reported as 55%, 70%, and 38% respectively [138].
9.2 Technique for radical hysterectomy
Using a low transverse Maylard or Cherney incision or a midline incision, the hysterectomy begins with entry into the retroperitoneum, identification of the ureter, and development of the paravesical and pararectal spaces bilaterally. The paravesical space is bordered by the obliterated umbilical artery medially, obturator internus muscle laterally, cardinal ligament posteriorly, and the pubic symphysis anteriorly. The pararectal space is bordered by the rectum medially, hypogastric artery laterally, cardinal ligament anteriorly, and sacrum posteriorly. The bladder is dissected off the anterior cervix and upper vagina by opening up the vesicouterine fold of peritoneum.
The uterine artery is then identified by following the superior vesicle artery back to its origin from the hypogastric artery. In type C, the artery is ligated at its origin whereas in type B, it is ligated at the level where the artery crosses the ureter. The uterine vein also runs alongside the artery and should be ligated. The ureteric dissection requires taking down the anterior vesicouterine ligament and mobilizing the ureter off its peritoneal attachments in order to mobilize it from the side of the uterus.
Posteriorly, the peritoneum over the pouch of Douglas is opened in order to enter the rectovaginal space. The rectum is then dissected off the posterior vagina and the uterosacral ligaments are divided bilaterally (at the rectum in type C). The vagina is entered anteriorly and transected circumferentially with adequate margins.
9.3 Complications after radical hysterectomy
Intraoperatively, the average blood loss ranges from 500ml to 1500ml [139, 140]. Need for transfusion is associated with preoperative chemotherapy and BMI ≥ 25 kg/m2[141]. Other intraoperative complications include vascular injury, injury to the ureter and bladder, injury to the rectum, and injury to the obturator nerve. Early post-operative complications include urinary tract infection (8.3%), fever (3.1%), ileus (2.9%), venous thrombosis and pulmonary embolism (2.8%) [139, 140, 142, 143].
Late complications include bladder dysfunction and sexual dysfunction. The degree of severity in bladder dysfunction ranges from need for timed voiding to self-catheterization or chronic indwelling catheter. There is a large range of bladder dysfunction reported but the generally accepted incidence is approximately 5% [140, 144]. Nerve sparing techniques may decrease the risk of bladder dysfunction. With respect to sexual dysfunction, the largest study of sexuality in cervical cancer survivors was published in 1999 from a Swedish group [145]. They reported sexual dysfunction in 55% of patients including insufficient lubrication, reduced genital swelling at arousal, reduced vaginal length and elasticity, and dyspareunia. Conversely, more recent but smaller studies reported that radical hysterectomy was not associated with major sexual sequelae and changes in scores on the Female Sexual Function Index were less than the validated cutoff value for diagnosing female sexual dysfunction [146, 147]
9.4 Surgical approach for radical hysterectomy
Previously, minimally invasive techniques (laparoscopy or robotic-assisted laparoscopy) in performing radical hysterectomy was thought to have comparable oncologic outcomes based on retrospective data [148-152]. However, the phase III LACC trial compared outcomes in patients with early-stage cervical cancer undergoing total abdominal radical hysterectomy or total laparoscopic/robotic radical hysterectomy. They found that a minimally invasive approach was associated with a lower rate of 3-year-disease-free survival compared with open surgery (91.2% vs. 97.1%; HR 3.74; 95% CI, 1.63-8.58) as well as a lower rate of 3-year-overall-survival (93.8% vs. 99.0%; HR 6.00; 95%CI 1.77-20.30) [153].
A cohort study using the SEER (Surveillance, Epidemiology, and End Results) database found that among patients with stage IA2 or IB1 cervical cancer, the four-year mortality was higher among patients who underwent minimally invasive surgery compared to laparotomy (9.1% vs. 5.3%, P=0.002) [154]. Another cohort study using the National Cancer Database again found that among patients with stage IBI cervical cancer who underwent radical hysterectomy, a minimally invasive approach was associated with lower 5-year overall survival (81.3% vs. 90.8%, P<0.001) [155].
9.5 Less radical surgery in select patients
Several studies have explored less radical surgical options for early-stage cervical cancer, including simple hysterectomy, simple trachelectomy, and cervical conization with or without sentinel lymph node biopsy and pelvic lymph node dissection [156]. This is based on the low risk of parametrial involvement in patients with early-stage cervical cancer and favorable pathologic characteristics. Retrospective data found parametrial involvement ranges from 0% to 0.6% among patients with tumor size less than 2cm, no lymphovascular invasion, and negative lymph nodes [157-160].
Retrospective data have demonstrated the feasibility of a conservative approach with lymph node assessment and promising oncologic and pregnancy outcomes [156]. There are three ongoing prospective trials evaluating a conservative approach in patients with low-risk early-stage cervical cancer: ConCerv [161], SHAPE (NCT01658930), and GOG 278, which will further define patients suitable for less radical surgical approach.
9.6 Lymph node dissection
Based on previous clinical FIGO staging, the risk of para-aortic nodal involvement for stage IB, II, and III was 5%, 16%, and 25% respectively, and the risk of isolated para-aortic nodal involvement in the absence of pelvic lymph node metastases is low [66]. This highlights the orderly nature of lymphatic dissemination in cervical cancer.
Lymph node dissection has been classified into four levels:
  1. external and internal iliac,
  2. common iliac (including presacral),
  3. aortic inframesenteric,
  4. aortic infrarenal [133].
Alternatively, the mid-common iliac is the boundary of the pelvic and para-aortic lymph node dissection. In general, para-aortic lymphadenectomy is done to the level of the inferior mesenteric artery, but may be modified based on radiological and intraoperative findings.
Sentinel lymph node mapping has been used in place of complete lymphadenectomy in some areas where available [162-165] (Figure 15). The sentinel lymph node technique has the advantages of identifying small-volume disease while minimizing morbidity associated with a full lymphadenectomy (e.g., lymphedema, vascular and nerve injury). The technique utilizes cervical injection with indocyanine green, isosulfan blue dye, or radiocolloid technetium-99 into the cervix. The most common injection sites are 3 o’clock and 9 o’clock on the cervical face. The sentinel lymph nodes are identified by direct visualization when isosulfan blue is used, or either a near infrared camera for indocyanine green, or gamma probe when technetium-99 is used. The most common locations for sentinel lymph nodes are medial to the external iliac vessels, ventral to the hypogastric vessels, or in the superior part of the obturator space. It is important to note that if no sentinel node is identified, complete lymphadenectomy should be performed [163].
With regards to performance, the sensitivity, negative predictive value, and false negative rate of sentinel lymph node biopsy in patients with early-stage cervical cancer has been reported to be 96.4%, 99.3%, and 3.6% respectively [166]. In comparing the different modalities, the FILM (Fluorescence Imaging for Lymphatic Mapping) study was a phase III randomized trial which demonstrated non-inferiority of indocyanine green to isosulfan blue dye [164]. An accurate sentinel lymph node technique relies on the adherence to the ultrastaging protocol with respect to thickness of slices, the number of levels, distance between the levels, and number of sections per level [167].
Figure 15. External iliac sentinel lymph node identified with indocyanine green on regular light (a) and under near infrared light (b).

10. Principles of radiation therapy

10.1 Definitive primary radiation
The addition of concurrent platinum-based chemotherapy to radiation therapy in patients with stage IB3-IVA disease is associated with an approximately 10% 5-year overall survival benefit [168]. For definitive radiation therapy, whole pelvic external beam radiation or extended field radiation can be delivered to a total dose of 4500 to 5040 cGy, in 180 cGy fractions, with concurrent weekly cisplatin (40 mg/m2).
Extended-field radiation therapy to include the para-aortic region is based on the high rates of para-aortic nodal involvement in patients with clinically localized disease. The RTOG conducted a randomized trial of prophylactic para-aortic radiation in patients with stages IB or II cervical cancer and found that prophylactic para-aortic radiation resulted in improved 10-year overall survival (55% vs. 44%, p=0.02) [169]. RTOG 90-01 then reported the results of a study comparing pelvic radiation plus concurrent chemotherapy to prophylactic extended-field radiation without chemotherapy and found that the overall survival rate for patients treated with chemotherapy was significantly greater than that for patients treated with extended-field (67% v 41% at 8 years; P <.0001) along with an overall reduction in the risk of disease recurrence of 51% (95% CI, 36% to 66%) for patients who received chemotherapy [168]. Thus, the practice pattern has evolved to favor concurrent chemotherapy with extended field used only in select cases [170].
The total radiation therapy treatment time with conventional pelvic external beam radiation therapy plus brachytherapy is 56 ± 3 days. It is important to minimize delays for any cause as there is a loss of pelvic control at 1% day when duration exceeds this limit [171], and delays are associated with poorer progression-free survival (HR 1.98; 95%CI, 1.16-3.38) and overall survival (HR 1.88; 95%CI, 1.08-3.26) [172].
10.2 Postoperative adjuvant radiation therapy
In patients with intermediate-risk pathologic features after hysterectomy, adjuvant radiation is associated with a 12.6% absolute risk reduction in locoregional recurrence [111]. This is based on data from GOG 92 in which patients with cervical cancer were stratified based on what is now known as the Sedlis criteria (Table 3). A meta-analysis performed in 2012 confirmed the benefit of adjuvant radiation for those with intermediate-risk factors and reported a significantly lower risk of disease progression at 5 years versus observation (Relative Risk 0.6; 95% CI 0.4 to 0.9) [173]. The recommended regimen is whole pelvic external beam radiation delivered to a total dose of 4500 to 5040cGy, in 180 cGy per fraction or 4000 to 4400 cGy in 200cGy per fraction [111].
Table 3. Sedlis Criteria (Adapted from Table 1 in the GOG 92 publication)
Capillary lymphovascular space involvementStromal invasionTumor Size
PositiveDeep 1/3Any
PositiveMiddle 1/3≥2cm
PositiveSuperficial 1/3≥5cm
NegativeDeep or middle 1/3≥4cm
In patients with high-risk pathologic features after radical hysterectomy, adjuvant concurrent cisplatin-based chemoradiation has been shown to improve progression-free and overall survival [118]. High-risk factors include positive margins or positive lymph node(s), or extension into the parametrial tissue [174]. The recommended regimen is whole pelvic external beam radiation delivered to a total dose of 4500 to 5040cGy, in 180 cGy fractions, with concurrent weekly cisplatin (40mg/m2) [174].
The standard fields of pelvic radiation are defined by the L4-5 junction, inferior obturator foramen, and 1.5cm lateral to the pelvic brim in the anteroposterior view and outer edge of pubic symphysis and ischial tuberosity in the lateral view. Some centers have investigated small field radiation that focuses on the central pelvis while decreasing the amount of small and large bowel that is irradiated [175, 176]. The small-fields are defined by the S1-S2 junction, midobturator foramen, and boney pelvic brim in the anteroposterior view and 1cm posterior to the pubic tubercle and anterior sacral plane in the lateral view. The 5-year pelvic control rate was 93% and 90% in the small-field and standard-field groups respectively, with decreased hematologic and gastrointestinal toxicity, as well as lymphedema [176, 177].  
10.3 Intensity Modulated Radiation Therapy
IMRT uses a multifield beam arrangement with variable beam fluence in order to confirm to radiation targets. This technique balances need to deliver high target coverage by the prescription dose while minimizing dose exposure to surrounding organs [178, 179]. Planning is performed primarily using CT, augmented with MRI and PET overlays. In planning, dose-volume histograms are used to plot the proportion of target volume or organ-at-risk volume in order to define the dose over the course of the radiation prescription (Figure 16).
Figure 16. Dosimetry planning using IMRT with the goal of delivering 5040cGy to the primary cervical lesion (a) as well as a right enlarged lymph node (b) while minimizing toxicity to small bowel (outlined in red along the anterior abdomen).
Studies have demonstrated comparable clinical outcome with lower gastrointestinal and bone marrow toxicity using IMRT compared to whole pelvic radiation [180, 181]. RTOG 1203 (TIME-C) was a phase III randomized controlled trial comparing 3-dimensional radiation versus IMRT in the postoperative treatment of patients with cervical and endometrial cancer and showed improved patient-reported short-term gastrointestinal and urinary outcomes with IMRT [182]. However, there is no data that IMRT improves disease specific survival or overall survival compared to conventional whole pelvic techniques. Furthermore, volumes may be sensitive to respiration, bladder fill, and rectal fill [183].
10.4 Brachytherapy
The inclusion of brachytherapy in the treatment of locally advanced cervical cancer is associated with improved survival when compared to IMRT and stereotactic body radiation boost [184, 185]. In the postoperative setting, brachytherapy should be considered if there is a positive vaginal mucosal margin. If the parametrial or paravaginal margins are found to be involved, intracavitary multichannel cylinder or interstitial needles may be necessary to conform to the target areas.
For patients undergoing definitive radiation therapy, MRI or CT is ideally used to plan the volume-based prescription. Volume-based targets were defined by the GEC-ESTRO (Group Européen de Curiethérapiee – European Society for Radiotherapy and Oncology) (Figure 17) [186].
Figure 17. Brachytherapy tandem and ring applicator (a,b) and MRI-guided planning (c)
Volumes were defined with the associated target doses in order to deliver target doses to tumor while minimizing dose to organs at risk (Table 4) [187]. retroEMBRACE was a large multi-institutional cohort that demonstrated the use of image guided brachytherapy with target volumes improved local control and reduced toxicity, while producing an altered pattern of relapse relative to 2-D brachytherapy [188].
The EMBRACE II study is an interventional and observational multicenter study which aims to assess MRI guided adaptive IMRT for external beam radiotherapy with simultaneously integrated nodal boosting and MRI guided adaptive brachytherapy with intensified use of interstitial needles [189]
With respect to organ at risk, the ideal dose constraint for organs at risk, defined by the minimal dose to the 2cm3 of the organ at risk receiving the maximal dose based on an equivalent dose of 2 Gy with an α-to-β ratio of 3, are <6500cGy for rectum, <8000cGy for bladder, <6500cGy point dose for vagina, and <7000cGy for sigmoid and bowel [174]. If volume-based planning is not possible, then 2-dimension or point-based planning could be used.
Table 4. Target volume definitions for image guided brachytherapy (Adapted from Prescribing, Recording, and Reporting Brachytherapy for Cancer of the Cervix [190])
VolumeComponentsDose goals
GTV (gross tumor volume)Gross tumor at the time of brachytherapy, determined by imaging or examination≥ 8000cGy
HR-CTC (high-risk target volume)GTV, the entire cervix, and regions of indeterminate T2-weighted MRI signals (i.e., gray zone)D90 ≥ 8000cGy; consider dose escalation for advanced disease or poor response to initial therapy
IR-CTV (intermediate-risk target volume)*HR-CTV with expansion of 0.5-1cm globally with an additional 0.5cm superiorly into the uterus, inferiorly into the vagina, and laterally in bilateral paracervical tissues, not extending into organs at risk, and including sites of initial disease involvementD90 ≥ 6000 cGy; consider dose escalation for advanced disease
*IR-CTV is not yet validated.
10.5 Radiation-Related Adverse Events
Common radiation-therapy associated adverse events include fatigue, skin erythema, dysuria, and diarrhea. Grade 2 or above toxicities have been reported at 20% whereas grade 3 or above toxicity is uncommon at 2% [191, 192]. Long-term complications include bowel, sexual dysfunction, lymphedema, lumbosacral plexopathy, and pelvic insufficiency fractures [169].

11. Principles of Chemotherapy

11.1 Neoadjuvant chemotherapy
Although neoadjuvant chemotherapy before surgery has been used in areas where radiation therapy is not widely accessible, it is not recommended outside of a clinical trial. This is based on data demonstrating no improvement in survival when compared with surgery alone for early-stage cervical cancer [120-122] or locally advanced cervical cancer [123, 124]. In patients with stage IB1 to IIA cervical cancer, neoadjuvant chemotherapy may reduce the need for adjuvant radiation, but there is no improvement in overall survival [124]. However, response to neoadjuvant chemotherapy has been found to be prognostic of progression free survival and overall survival [125, 126].
Neoadjuvant chemotherapy before chemosensitizing radiation is not currently recommended. However, dose-dense paclitaxel-carboplatin before chemosensitizing radiation in small studies has shown response rates of 85% to 92% [193, 194]. This has led to an ongoing prospective randomized clinical trial (INTERLACE, NCT01566240) comparing addition of weekly paclitaxel (80mg/m2) and carboplatin (AUC2) for six weeks to the current standard chemosensitizing radiation with cisplatin (40mg/m2) to chemosensitizing radiation alone.
11.2 Chemotherapy in combination with radiation
Radiation causes double-strand DNA breaks through both direct and indirect DNA damage, the majority of which is generated through reactive oxygen radicals. The addition of chemotherapy as a sensitizer works by creating interstrand DNA crosslinks, leading to DNA double stranded breaks. Cisplatin-containing chemotherapy given weekly during daily radiation therapy has been demonstrated to improve disease-free and overall survival in both phase II [195-197] as well as phase III randomized trials [130, 170, 191].
A meta-analysis based on 24 trials and 4921 patients reported that the addition of chemotherapy, whether it was platinum or otherwise, to radiation improved progression-free and overall survival by 13% and 10% respectively [198]. Chemoradiation also showed significant benefit for local recurrence and a suggestion of a benefit for distant recurrence. However, acute hematological and gastrointestinal toxicity was significantly greater in the concomitant chemoradiation group.
11.3 Chemotherapy as adjuvant therapy
For early-stage cervical cancer (stages I to IIA), one trial found that adjuvant chemotherapy (cisplatin, vinblastine, and bleomycin) followed by radiotherapy versus radiotherapy alone did not differ with respect to disease recurrence (HR 1.34; 95%CI 0.24 to 7.66) [199]. As a radiosensitizer, there is evidence from two small trials that suggest the addition of platinum-based chemotherapy to radiation reduces the risk of death by 13% to 64% and reduces the risk of disease progression by between 26% to 70%; this corresponds to an absolute benefit of 12% and 16% in overall survival and progression-free survival, respectively [118, 200].
Adjuvant chemoradiation is associated with an increased risk of severe acute toxicity, although it is not clear whether this toxicity is significant in the long term due to a lack of long‐term data. There are no trials comparing adjuvant chemotherapy with no adjuvant chemotherapy after surgery for early cervical cancer with risk factors for recurrence. There are ongoing studies this area, comparing chemoradiation with primary radiotherapy for early cervical cancer without high‐risk factors (NCT00846508), and comparing chemoradiation with radiotherapy after surgery in women with intermediate‐ and high‐risk factors (GOG 0263, NCT 00806117).
With respect to advanced stage disease, the ACTLACC trial compared the response rate and survivals of patients with Stage IIB to IVA cervical cancer who underwent concurrent chemoradiation alone compared to those who ad adjuvant chemotherapy with paclitaxel plus carboplatin every four weeks for 3 cycles after chemoradiation [201].
There were no significant differences of overall or loco-regional failure. However, systemic recurrences were significantly lower in those who received adjuvant chemotherapy compared to those who did not (5.4% vs. 10.1%; p=0.029). Two trials with anticipated results will further elucidate the effect of “outback” adjuvant carboplatin and paclitaxel after chemoradiation in patients with clinical stage IB to IVA disease with para-aortic lymph node involvement (NCT01295502) and with negative para-aortic lymph nodes (NCT 0141608).
11.3 Chemotherapy in metastatic and recurrent disease
Metastatic, persistent, and recurrent disease is associated with poor prognosis, with one study reporting that 56% of participants died within the 9-month observation period [202]. Cisplatin was one of the first agents investigated in patients with stage IVB and recurrent disease [203]. In that phase II study, 50% and 17% of patients with no prior chemotherapy and those who had prior chemotherapy had an objective response respectively. A larger phase III study (GOG 169) which followed demonstrated that the addition of paclitaxel to cisplatin significantly increase the rate of response (36% vs. 19%; p=0.002) with improved median progression-free survival (4.8vs. 2.8 months; p<0.001) [204]. Similarly, GOG 179 evaluated the addition of topotecan to cisplatin and reported a improved response rate (27% vs. 13%; p=0.004) [205].
Given the demonstrated synergy with a platinum-based doublet, the addition of paclitaxel, vinorelbine, gemcitabine, and topotecan to cisplatin was compared in a randomized phase III study of 513 patients (GOG 204). The response rates ranged from 22% to 29% and overall survival ranged from 10 to 12.9 months, with trends for response, progression-free survival, and overall survival favoring cisplatin-paclitaxel [206].
Cisplatin/paclitaxel was also associated with less thrombocytopenia and anemia, but more nausea, vomiting, infection, and alopecia, than other regimens. Finally, as discussed in the next section, the addition of bevacizumab to a platinum-based doublet (GOG 240) demonstrated further improvement in overall survival, but was associated with greater hypertension, thromboembolic events, as well as gastrointestinal fistula [207]. In that study, topotecan/paclitaxel was not superior to cisplatin/paclitaxel, but may be considered in patients who do not tolerate cisplatin. Currently, cisplatin-paclitaxel-bevacizumab and topotecan-paclitaxel-bevacizumab have shown the highest efficacy in patients with advanced, persistent, and recurrent cervical cancer [208].

12. Principles of Targeted Therapy

Cervical cancer has been shown to be an angiogenic disease and inhibition of the angiogenesis pathway has shown promise. GOG-0240 demonstrated an overall survival benefit from 13.3 to 17 months from the addition of bevacizumab to chemotherapy (HR 0.71,95%CI 0.54 to 0.95) along with higher response rates (48% vs. 36%, p=0.008) [207]. Similarly, cediranib is a potent oral inhibitor of VEGFR1-3 tyrosine kinases. The potential value of angiogenesis inhibition was further supported by the benefit observed from the addition of cediranib to carboplatin and paclitaxel in the CIRCCa randomized phase II trial [209].
Other targeted therapies are based on the current understanding of DNA damage and repair regulators and cell cycle aberrations [210]. Ribonucleotide reductase (RNR) is a key enzyme required for DNA synthesis and repair and is regulated by p53 in normal cells. In cervical cancer, HPV-infected cells lose p53 activity resulting in increased activity of RNR, and upregulation of the RRM2 subunit of RNR has been shown to be prognostic for worse outcomes [211]. These findings support the rationale for combining triapine, a potent and relatively nontoxic RNR inhibitor, radiation or chemosensitizing radiation for treatment of cervical cancer (GY006, NCT02466971). Other proteins active in regulating G1/2, such as PARP1/2, ATM, and those that regulate G2 differentially, CHK1, WEE1, and ATR, are all potential targets for radiosensitization via inhibition of homologous recombination. The WEE1 inhibitor has been most studied and demonstrates sensitization to both chemotherapy (gemcitabine) and radiotherapy [212].
Along the DNA repair and homologous recombination pathway, inhibition of poly(ADP-ribose polymerase) (PARP) inhibition has demonstrated some activity. A phase I-II study tested the PARP inhibitor, veliparib, combined with topotecan in recurrent or persistent cervical cancer in the second-line setting. A response rate of 7%, with 37% stable disease, was reported [213]. Cisplatin, paclitaxel, and veliparib were evaluated in a phase I study of 34 patients, all of whom received prior radiotherapy (NCT#01281852) [214]. This regimen yielded an objective response rate of 34%, including 7% complete responses, 28% partial responses, and stable disease in 41%; progression-free survival was 6.2 months and overall survival was 14.5 months.
Genomic profiling of cervical cancer has identified somatic mutations in PIK3CA, PTEN, TP53, STK11, and KRAS [215-217]. The Tumor Cancer Genome Atlas molecularly characterized 178 primary cervical cancer samples and confirmed the presence of the previously described  mutations and identified new genes of interest, including ARID1A, SHKBP1, ERBB3, CASP8, HLA-A, and TGFBR2 [218]. Importantly, amplifications in the immune target genes CD274 (encoding PD-L1) and PDCD1LG2 (encoding PD-L2) were discovered. The KEYNOTE-028 study included 24 cervical cancer patients whose tumors expressed PD-L1, 90% who had received prior RT, and 63% of whom had received 2 prior lines of chemotherapy. Pembrolizumab elicited an overall response rate of 17% [219].
Tumor expression of PD-L1 was observed in 84% of the 98 cervical cancer patients in KEYNOTE-158 [220]. The overall response was 12%, resulting in US Food and Drug Administration approval for PD-L1 positive cervical cancer. Other immunotherapy combinations are currently under investigation such as durvalumab, a PD-L1 inhibitor, with the PARP inhibitor Olaparib or with cediranib [221]. The EMPOWER-Cervical trial, A phase 3 trial of cemiplimab (n=304), a PD-1 inhibitor, versus chemotherapy (n=304) in patients with previously treated metastatic cervical cancer demonstrated a 31% reduction in the risk of death with cemiplimab, with a median OS of 12.0 months versus 8.5 months, respectively (HR, 0.69; 95% CI, 0.56-0.84; P <.0001) [222]. Patients were allowed to enroll regardless of PD-L1 expression status, thus providing additional treatment options for this population.

13. Surveillance

Patient education after treatment is important. Symptoms such as vaginal discharge, weight loss, anorexia, and pain (pelvic, back, or legs) should raise suspicion of recurrence. The general recommendation for surveillance is history and physical examination every 3 to 6 months for 2 years, then every 6 to 12 months for another 5 years, and then annually. This may be modified based on risk for recurrence and patient preference. As part of the examination, annual cervical/vaginal cytology may be considered, with the caveat that detection rates using cytology are low [223] and low-grade abnormalities in those with a history of stage I or II disease do not warrant further workup [224].
Imaging should be based upon symptomatology and clinical findings. However, for patients who underwent trachelectomy, MRI should be considered 6 months after surgery and annually for up to 3 years; PET/CT may also be appropriate if distant metastasis is suspected. Finally, a post-treatment PET/CT should be considered 3 to 6 months after completing therapy in those with stage II disease.

14. Survivorship and management of relapse

Patient counseling on healthy lifestyle and smoking cessation is an important component of survivorship as many of these patients are young [224]. Sexual health may be of particular concern in those who received radiation and experience vaginal stenosis and dryness. The use of vaginal moisturizers and lubricants (e.g. estrogen creams), vaginal dilators, and regular vaginal intercourse could be beneficial. Lastly, radiation-induced second cancers require careful surveillance and appropriate referral [225, 226].
Biopsy proven relapse is preferably managed by a multidisciplinary team. For localized recurrence, radiation with or without chemotherapy or surgery are both options [127, 227]. In patients who have not undergone previous radiation, or recurrence is outside of the previously radiated field, tumor-directed external beam radiation is recommended, with or without chemotherapy (cisplatin, carboplatin, cisplatin/fluorouracil) and/or brachytherapy [228, 229].
In patients who have central pelvic recurrent disease after radiation, pelvic exenteration may be considered in carefully selected patients after thorough counseling, as this procedure is associated with significant morbidity [230]. Disease-free survival rates up to 40% have been reported after treatment for locoregional recurrence [231].
Distant metastases are unfortunately rarely curable. For isolated distant metastases amenable to treatment, surgical resection, tumor-directed external beam radiation, local ablation, and chemotherapy are all potential options [232, 233]. In most cases, metastases are at multiple sites and systemic chemotherapy and or targeted therapy is indicated. Clinical trials should be considered if available.
Patients with advanced or recurrent cervical cancer may have any of the following symptoms: vaginal bleeding or discharge, pelvic or back pain, anxiety and depression, urinary or bowel fistulas, lower extremity edema, deep venous thrombosis, dyspnea from anemia or pulmonary involvement, and uremia from ureteral obstruction. Palliative courses of radiation may provide symptomatic relief from painful bone metastases or para-aortic nodes as well as acute vaginal bleeding [234, 235]. Aggressive pain control based on the WHO pain ladder with acetaminophen, nonsteroidal anti-inflammatory, narcotics, and anticonvulsants may be needed. Topical agents, bisphosphonate or denosumab for diffuse bone pain, and transdermal electric nerve stimulation may also be considered. Fistulas can have a significantly negative impact on the quality of life and may be treated with bilateral percutaneous nephrostomy and gastrointestinal diversion.

15. Special Clinical Scenarios

15.1 Occult cervical cancer after extrafascial total hysterectomy
In patients with unexpected cervical cancer after hysterectomy for benign disease or uterine cancer, adjuvant treatment is recommended for any stage greater or equal to IA2. Additional surgery would require parametrectomy, upper vaginectomy, and lymph node dissection, which may be technically challenging. Alternatively, radiation or chemoradiation based on pathologic findings is a reasonable approach [174]. Disease-free survival at 5 years has been reported to be 85% with postoperative radiation for those with lymphovascular invasion [236].
15.2 Cervical cancer in pregnancy
Cervical cancer is the most commonly diagnosed gynecological malignancy during pregnancy. The incidence of CIN ranges from 1.30 to 2.7 per 1000 pregnancies while invasive cancer ranges from 0.1 to 12 per 10,000 pregnancies [237, 238]. While an endocervical brush and colposcopy with or without biopsy is safe during pregnancy, endocervical curettage is contraindicated [239]. The American Society for Colposcopy and Cervical Pathology has provided guidelines for management in pregnancy [36]. Spontaneous regression of CIN 2 to 3 occurs in up to 70% by the postpartum period and cesarean section is not required for dysplasia [240, 241].
Treatment of invasive cancer depends on gestation age, cancer stage, tumor size, and the patient’s personal preference. When cervical cancer is diagnosed during the first trimester, ca onservative approach until the second trimester is reasonable. During the second trimester, interventions including lymphadenectomy, conization, trachelectomy and neoadjuvant chemotherapy can be considered. When diagnosed during the third trimester, cesarean section is recommended once fetal maturity has been reached followed by standard treatment. Multidisciplinary management in tertiary referral centers is preferred due to the complexity of these cases, and we encourage the reader to consult the published guidelines from the International Institute of Gynecological Oncology and the European Society of Gynecological Oncology [242].
15.3 Cervical cancer in patients with Human Immunodeficiency Virus
Cervical cancer is an AIDS-defining illness and HIV-infected women have an increased prevalence of HPV infection (36%), risk of multiple concurrent HPV genotype infections, and progression to invasive cervical cancer [243]. While HPV coinfection is correlated to CD4 counts and HIV viral load (the lowest HPV coinfection rates are found in those with a CD4 count of >500mm-3 and HIV viral load of <4,000 copies/mL), invasive cervical cancer does not require extreme immunosuppression, and most invasive cancers arise in women with CD4 counts >200m-3 [244-246]. Given the long time interval between CD4 count and development of cancer, the effect of highly active antiretroviral therapy has been equivocal [246, 247].
Given the increased risk, guidelines recommend more intensive screening and surveillance in patients with HIV [36]. The immunogenicity and safety of the quadrivalent HPV vaccine among HIV-infected patients was tested in the AIDS Clinical Trials Group protocol A5240. There were no safety concerns but women with viral loads >10,000 copies/mL or CD4 counts <200m-3 had slightly lower conversion rates [248, 249]. It is important to note that HPV vaccination is recommended by the Centers for Disease Control and Prevention in the United States regardless of CD4 counts. Treatment of invasive cancer in HIV-infected patients should follow that of those who are HIV-negative.

References

  1. Ferlay J, Soerjomataram I, Dikshit R, Eser S, Mathers C, Rebelo M, et al. Cancer incidence and mortality worldwide: sources, methods and major patterns in GLOBOCAN 2012. International journal of cancer. 2015;136:E359-86.
  2. de Sanjose S, Quint WG, Alemany L, Geraets DT, Klaustermeier JE, Lloveras B, et al. Human papillomavirus genotype attribution in invasive cervical cancer: a retrospective cross-sectional worldwide study. The Lancet Oncology. 2010;11:1048-56.
  3. zur Hausen H. Papillomaviruses in human cancers. Proceedings of the Association of American Physicians. 1999;111:581-7.
  4. Alemany L, de Sanjosé S, Tous S, Quint W, Vallejos C, Shin HR, et al. Time trends of human papillomavirus types in invasive cervical cancer, from 1940 to 2007. International journal of cancer. 2014;135:88-95.
  5. Plummer M, Peto J, Franceschi S. Time since first sexual intercourse and the risk of cervical cancer. International journal of cancer. 2012;130:2638-44.
  6. Lu B, Viscidi RP, Lee JH, Wu Y, Villa LL, Lazcano-Ponce E, et al. Human papillomavirus (HPV) 6, 11, 16, and 18 seroprevalence is associated with sexual practice and age: results from the multinational HPV Infection in Men Study (HIM Study). Cancer epidemiology, biomarkers & prevention : a publication of the American Association for Cancer Research, cosponsored by the American Society of Preventive Oncology. 2011;20:990-1002.
  7. Kjaer SK, Chackerian B, van den Brule AJ, Svare EI, Paull G, Walbomers JM, et al. High-risk human papillomavirus is sexually transmitted: evidence from a follow-up study of virgins starting sexual activity (intercourse). Cancer epidemiology, biomarkers & prevention : a publication of the American Association for Cancer Research, cosponsored by the American Society of Preventive Oncology. 2001;10:101-6.
  8. Waggoner SE, Darcy KM, Tian C, Lanciano R. Smoking behavior in women with locally advanced cervical carcinoma: a Gynecologic Oncology Group study. American journal of obstetrics and gynecology. 2010;202:283.e1-7.
  9. Maiman M, Fruchter RG, Clark M, Arrastia CD, Matthews R, Gates EJ. Cervical cancer as an AIDS-defining illness. Obstetrics and gynecology. 1997;89:76-80.
  10. McKinnon B, Harper S, Moore S. Decomposing income-related inequality in cervical screening in 67 countries. International journal of public health. 2011;56:139-52.
  11. Mazor KM, Williams AE, Roblin DW, Gaglio B, Cutrona SL, Costanza ME, et al. Health literacy and pap testing in insured women. Journal of cancer education : the official journal of the American Association for Cancer Education. 2014;29:698-701.
  12. Hebner CM, Laimins LA. Human papillomaviruses: basic mechanisms of pathogenesis and oncogenicity. Reviews in medical virology. 2006;16:83-97.
  13. Barbosa MS, Vass WC, Lowy DR, Schiller JT. In vitro biological activities of the E6 and E7 genes vary among human papillomaviruses of different oncogenic potential. Journal of virology. 1991;65:292-8.
  14. Cole ST, Danos O. Nucleotide sequence and comparative analysis of the human papillomavirus type 18 genome. Phylogeny of papillomaviruses and repeated structure of the E6 and E7 gene products. Journal of molecular biology. 1987;193:599-608.
  15. Vande Pol SB, Klingelhutz AJ. Papillomavirus E6 oncoproteins. Virology. 2013;445:115-37.
  16. McLaughlin-Drubin ME, Münger K. The human papillomavirus E7 oncoprotein. Virology. 2009;384:335-44.
  17. Yim E-K, Park J-S. The role of HPV E6 and E7 oncoproteins in HPV-associated cervical carcinogenesis. Cancer Res Treat. 2005;37:319-24.
  18. Songock WK, Kim S-M, Bodily JM. The human papillomavirus E7 oncoprotein as a regulator of transcription. Virus Res. 2017;231:56-75.
  19. Kim JW, Namkoong SE, Ryu SW, Kim HS, Shin JW, Lee JM, et al. Absence of p15INK4B and p16INK4A gene alterations in primary cervical carcinoma tissues and cell lines with human papillomavirus infection. Gynecol Oncol. 1998;70:75-9.
  20. Carozzi F, Confortini M, Dalla Palma P, Del Mistro A, Gillio-Tos A, De Marco L, et al. Use of p16-INK4A overexpression to increase the specificity of human papillomavirus testing: a nested substudy of the NTCC randomised controlled trial. The Lancet Oncology. 2008;9:937-45.
  21. Darragh TM, Colgan TJ, Cox JT, Heller DS, Henry MR, Luff RD, et al. The Lower Anogenital Squamous Terminology Standardization Project for HPV-Associated Lesions: Background and Consensus Recommendations from the College of American Pathologists and the American Society for Colposcopy and Cervical Pathology. Archives of Pathology & Laboratory Medicine. 2012;136:1266-97.
  22. Joura EA, Giuliano AR, Iversen O-E, Bouchard C, Mao C, Mehlsen J, et al. A 9-Valent HPV Vaccine against Infection and Intraepithelial Neoplasia in Women. New England Journal of Medicine. 2015;372:711-23.
  23. Luckett R, Feldman S. Impact of 2-, 4- and 9-valent HPV vaccines on morbidity and mortality from cervical cancer. Hum Vaccin Immunother. 2016;12:1332-42.
  24. Romanowski B, de Borba PC, Naud PS, Roteli-Martins CM, De Carvalho NS, Teixeira JC, et al. Sustained efficacy and immunogenicity of the human papillomavirus (HPV)-16/18 AS04-adjuvanted vaccine: analysis of a randomised placebo-controlled trial up to 6.4 years. Lancet (London, England). 2009;374:1975-85.
  25. Naud PS, Roteli-Martins CM, De Carvalho NS, Teixeira JC, de Borba PC, Sanchez N, et al. Sustained efficacy, immunogenicity, and safety of the HPV-16/18 AS04-adjuvanted vaccine: final analysis of a long-term follow-up study up to 9.4 years post-vaccination. Hum Vaccin Immunother. 2014;10:2147-62.
  26. Iversen OE, Miranda MJ, Ulied A, Soerdal T, Lazarus E, Chokephaibulkit K, et al. Immunogenicity of the 9-Valent HPV Vaccine Using 2-Dose Regimens in Girls and Boys vs a 3-Dose Regimen in Women. Jama. 2016;316:2411-21.
  27. Slade BA, Leidel L, Vellozzi C, Woo EJ, Hua W, Sutherland A, et al. Postlicensure safety surveillance for quadrivalent human papillomavirus recombinant vaccine. Jama. 2009;302:750-7.
  28. Descamps D, Hardt K, Spiessens B, Izurieta P, Verstraeten T, Breuer T, et al. Safety of human papillomavirus (HPV)-16/18 AS04-adjuvanted vaccine for cervical cancer prevention: a pooled analysis of 11 clinical trials. Human vaccines. 2009;5:332-40.
  29. Lei J, Ploner A, Elfström KM, Wang J, Roth A, Fang F, et al. HPV Vaccination and the Risk of Invasive Cervical Cancer. New England Journal of Medicine. 2020;383:1340-8.
  30. Peto J, Gilham C, Fletcher O, Matthews FE. The cervical cancer epidemic that screening has prevented in the UK. Lancet (London, England). 2004;364:249-56.
  31. Schlichte MJ, Guidry J. Current Cervical Carcinoma Screening Guidelines. Journal of clinical medicine. 2015;4:918-32.
  32. Nanda K, McCrory DC, Myers ER, Bastian LA, Hasselblad V, Hickey JD, et al. Accuracy of the Papanicolaou test in screening for and follow-up of cervical cytologic abnormalities: a systematic review. Annals of internal medicine. 2000;132:810-9.
  33. Nayar R, Wilbur DC. The Pap Test and Bethesda 2014. Acta Cytologica. 2015;59:121-32.
  34. Huijsmans CJ, Geurts-Giele WR, Leeijen C, Hazenberg HL, van Beek J, de Wild C, et al. HPV Prevalence in the Dutch cervical cancer screening population (DuSC study): HPV testing using automated HC2, cobas and Aptima workflows. BMC cancer. 2016;16:922.
  35. Canfell K, Saville M, Caruana M, Gebski V, Darlington-Brown J, Brotherton J, et al. Protocol for Compass: a randomised controlled trial of primary HPV testing versus cytology screening for cervical cancer in HPV-unvaccinated and vaccinated women aged 25-69 years living in Australia. BMJ open. 2018;8:e016700.
  36. Perkins RB, Guido RS, Castle PE, Chelmow D, Einstein MH, Garcia F, et al. 2019 ASCCP Risk-Based Management Consensus Guidelines for Abnormal Cervical Cancer Screening Tests and Cancer Precursors. Journal of Lower Genital Tract Disease. 2020;24:102-31.
  37. Cook DA, Smith LW, Law JH, Mei W, Gondara L, van Niekerk DJ, et al. Comparative performance of human papillomavirus messenger RNA versus DNA screening tests at baseline and 48 months in the HPV FOCAL trial. Journal of clinical virology : the official publication of the Pan American Society for Clinical Virology. 2018;108:32-7.
  38. Wentzensen N. Triage of HPV-positive women in cervical cancer screening. The Lancet Oncology. 2013;14:107-9.
  39. Cuschieri K, Ronco G, Lorincz A, Smith L, Ogilvie G, Mirabello L, et al. Eurogin roadmap 2017: Triage strategies for the management of HPV-positive women in cervical screening programs. International journal of cancer. 2018;143:735-45.
  40. Egemen D, Cheung LC, Chen X, Demarco M, Perkins RB, Kinney W, et al. Risk Estimates Supporting the 2019 ASCCP Risk-Based Management Consensus Guidelines. Journal of lower genital tract disease. 2020;24:132-43.
  41. Sasieni PD, Cuzick J, Lynch-Farmery E. Estimating the efficacy of screening by auditing smear histories of women with and without cervical cancer. The National Co-ordinating Network for Cervical Screening Working Group. British journal of cancer. 1996;73:1001-5.
  42. World Health Organization. Colposcopy and treatment of cervical intraepithelial neoplasia: a beginner’s manual2003.
  43. Mitchell MF, Schottenfeld D, Tortolero-Luna G, Cantor SB, Richards-Kortum R. Colposcopy for the diagnosis of squamous intraepithelial lesions: a meta-analysis. Obstetrics and gynecology. 1998;91:626-31.
  44. Belinson JL, Pretorius RG, Zhang WH, Wu LY, Qiao YL, Elson P. Cervical cancer screening by simple visual inspection after acetic acid. Obstetrics and gynecology. 2001;98:441-4.
  45. Wentzensen N, Massad LS, Mayeaux EJ, Jr., Khan MJ, Waxman AG, Einstein MH, et al. Evidence-Based Consensus Recommendations for Colposcopy Practice for Cervical Cancer Prevention in the United States. Journal of lower genital tract disease. 2017;21:216-22.
  46. Wentzensen N, Schiffman M, Silver MI, Khan MJ, Perkins RB, Smith KM, et al. ASCCP Colposcopy Standards: Risk-Based Colposcopy Practice. Journal of lower genital tract disease. 2017;21:230-4.
  47. Mayeaux EJ, Novetsky AP, Chelmow D, Choma K, Garcia F, Liu AH, et al. Systematic Review of International Colposcopy Quality Improvement Guidelines. Journal of lower genital tract disease. 2017;21:249-57.
  48. Chappatte OA, Byrne DL, Raju KS, Nayagam M, Kenney A. Histological differences between colposcopic-directed biopsy and loop excision of the transformation zone (LETZ): a cause for concern. Gynecol Oncol. 1991;43:46-50.
  49. Stoler MH, Vichnin MD, Ferenczy A, Ferris DG, Perez G, Paavonen J, et al. The accuracy of colposcopic biopsy: analyses from the placebo arm of the Gardasil clinical trials. International journal of cancer. 2011;128:1354-62.
  50. Kabaca C, Koleli I, Sariibrahim B, Karateke A, Gurbuz A, Kapudere B, et al. Is cervical punch biopsy enough for the management of low-grade cervical intraepithelial neoplasia? Journal of lower genital tract disease. 2014;18:240-5.
  51. Jung Y, Lee AR, Lee SJ, Lee YS, Park DC, Park EK. Clinical factors that affect diagnostic discrepancy between colposcopically directed biopsies and loop electrosurgical excision procedure conization of the uterine cervix. Obstetrics & gynecology science. 2018;61:477-88.
  52. Stuebs FA, Schulmeyer CE, Mehlhorn G, Gass P, Kehl S, Renner SK, et al. Accuracy of colposcopy-directed biopsy in detecting early cervical neoplasia: a retrospective study. Archives of gynecology and obstetrics. 2019;299:525-32.
  53. Darragh TM, Colgan TJ, Cox JT, Heller DS, Henry MR, Luff RD, et al. The Lower Anogenital Squamous Terminology Standardization Project for HPV-Associated Lesions: background and consensus recommendations from the College of American Pathologists and the American Society for Colposcopy and Cervical Pathology. Archives of pathology & laboratory medicine. 2012;136:1266-97.
  54. Richart RM. Cervical intraepithelial neoplasia. Pathology annual. 1973;8:301-28.
  55. Castle PE, Stoler MH, Solomon D, Schiffman M. The relationship of community biopsy-diagnosed cervical intraepithelial neoplasia grade 2 to the quality control pathology-reviewed diagnoses: an ALTS report. American journal of clinical pathology. 2007;127:805-15.
  56. Melnikow J, McGahan C, Sawaya GF, Ehlen T, Coldman A. Cervical intraepithelial neoplasia outcomes after treatment: long-term follow-up from the British Columbia Cohort Study. Journal of the National Cancer Institute. 2009;101:721-8.
  57. Bigrigg MA, Codling BW, Pearson P, Read MD, Swingler GR. Colposcopic diagnosis and treatment of cervical dysplasia at a single clinic visit. Experience of low-voltage diathermy loop in 1000 patients. Lancet (London, England). 1990;336:229-31.
  58. Dey P, Gibbs A, Arnold DF, Saleh N, Hirsch PJ, Woodman CB. Loop diathermy excision compared with cervical laser vaporisation for the treatment of intraepithelial neoplasia: a randomised controlled trial. BJOG : an international journal of obstetrics and gynaecology. 2002;109:381-5.
  59. Kliemann LM, Silva M, Reinheimer M, Rivoire WA, Capp E, Dos Reis R. Minimal cold knife conization height for high-grade cervical squamous intraepithelial lesion treatment. European journal of obstetrics, gynecology, and reproductive biology. 2012;165:342-6.
  60. Martin-Hirsch PP, Paraskevaidis E, Bryant A, Dickinson HO. Surgery for cervical intraepithelial neoplasia. The Cochrane database of systematic reviews. 2013:Cd001318.
  61. Santesso N, Mustafa RA, Wiercioch W, Kehar R, Gandhi S, Chen Y, et al. Systematic reviews and meta-analyses of benefits and harms of cryotherapy, LEEP, and cold knife conization to treat cervical intraepithelial neoplasia. International Journal of Gynecology & Obstetrics. 2016;132:266-71.
  62. Bhatla N, Berek JS, Cuello Fredes M, Denny LA, Grenman S, Karunaratne K, et al. Revised FIGO staging for carcinoma of the cervix uteri. International Journal of Gynecology & Obstetrics. 2019;145:129-35.
  63. Creasman WT, Zaino RJ, Major FJ, DiSaia PJ, Hatch KD, Homesley HD. Early invasive carcinoma of the cervix (3 to 5 mm invasion): risk factors and prognosis. A Gynecologic Oncology Group study. American journal of obstetrics and gynecology. 1998;178:62-5.
  64. Delgado G, Bundy BN, Fowler WC, Jr., Stehman FB, Sevin B, Creasman WT, et al. A prospective surgical pathological study of stage I squamous carcinoma of the cervix: a Gynecologic Oncology Group Study. Gynecol Oncol. 1989;35:314-20.
  65. Delgado G, Bundy B, Zaino R, Sevin BU, Creasman WT, Major F. Prospective surgical-pathological study of disease-free interval in patients with stage IB squamous cell carcinoma of the cervix: a Gynecologic Oncology Group study. Gynecol Oncol. 1990;38:352-7.
  66. Berman ML, Keys H, Creasman W, DiSaia P, Bundy B, Blessing J. Survival and patterns of recurrence in cervical cancer metastatic to periaortic lymph nodes (a Gynecologic Oncology Group study). Gynecol Oncol. 1984;19:8-16.
  67. Landoni F, Maneo A, Colombo A, Placa F, Milani R, Perego P, et al. Randomised study of radical surgery versus radiotherapy for stage Ib-IIa cervical cancer. Lancet (London, England). 1997;350:535-40.
  68. Sutton GP, Bundy BN, Delgado G, Sevin BU, Creasman WT, Major FJ, et al. Ovarian metastases in stage IB carcinoma of the cervix: a Gynecologic Oncology Group study. American journal of obstetrics and gynecology. 1992;166:50-3.
  69. Lagasse LD, Creasman WT, Shingleton HM, Ford JH, Blessing JA. Results and complications of operative staging in cervical cancer: Experience of the Gynecologic Oncology Group. Gynecologic Oncology. 1980;9:90-8.
  70. Hricak H, Gatsonis C, Chi DS, Amendola MA, Brandt K, Schwartz LH, et al. Role of imaging in pretreatment evaluation of early invasive cervical cancer: results of the intergroup study American College of Radiology Imaging Network 6651-Gynecologic Oncology Group 183. Journal of clinical oncology : official journal of the American Society of Clinical Oncology. 2005;23:9329-37.
  71. Mitchell DG, Snyder B, Coakley F, Reinhold C, Thomas G, Amendola MA, et al. Early invasive cervical cancer: MRI and CT predictors of lymphatic metastases in the ACRIN 6651/GOG 183 intergroup study. Gynecologic oncology. 2009;112:95-103.
  72. Viswanathan AN, Erickson B, Gaffney DK, Beriwal S, Bhatia SK, Lee Burnett O, 3rd, et al. Comparison and consensus guidelines for delineation of clinical target volume for CT- and MR-based brachytherapy in locally advanced cervical cancer. Int J Radiat Oncol Biol Phys. 2014;90:320-8.
  73. Rose PG, Adler LP, Rodriguez M, Faulhaber PF, Abdul-Karim FW, Miraldi F. Positron emission tomography for evaluating para-aortic nodal metastasis in locally advanced cervical cancer before surgical staging: a surgicopathologic study. Journal of clinical oncology : official journal of the American Society of Clinical Oncology. 1999;17:41-5.
  74. Grigsby PW. The prognostic value of PET and PET/CT in cervical cancer. Cancer Imaging. 2008;8:146-55.
  75. Grigsby PW, Siegel BA, Dehdashti F. Lymph node staging by positron emission tomography in patients with carcinoma of the cervix. Journal of clinical oncology : official journal of the American Society of Clinical Oncology. 2001;19:3745-9.
  76. Silverberg SG, Ioffe OB. Pathology of cervical cancer. Cancer journal (Sudbury, Mass). 2003;9:335-47.
  77. Robert ME, Fu YS. Squamous cell carcinoma of the uterine cervix–a review with emphasis on prognostic factors and unusual variants. Seminars in diagnostic pathology. 1990;7:173-89.
  78. Zaino RJ, Ward S, Delgado G, Bundy B, Gore H, Fetter G, et al. Histopathologic predictors of the behavior of surgically treated stage IB squamous cell carcinoma of the cervix. A Gynecologic Oncology Group study. Cancer. 1992;69:1750-8.
  79. Koenig C, Turnicky RP, Kankam CF, Tavassoli FA. Papillary squamotransitional cell carcinoma of the cervix: a report of 32 cases. The American journal of surgical pathology. 1997;21:915-21.
  80. Drew PA, Hong B, Massoll NA, Ripley DL. Characterization of papillary squamotransitional cell carcinoma of the cervix. Journal of lower genital tract disease. 2005;9:149-53.
  81. Albores-Saavedra J, Young RH. Transitional cell neoplasms (carcinomas and inverted papillomas) of the uterine cervix. A report of five cases. The American journal of surgical pathology. 1995;19:1138-45.
  82. Young RH, Clement PB. Endocervical adenocarcinoma and its variants: their morphology and differential diagnosis. Histopathology. 2002;41:185-207.
  83. Bertrand M, Lickrish GM, Colgan TJ. The anatomic distribution of cervical adenocarcinoma in situ: implications for treatment. American journal of obstetrics and gynecology. 1987;157:21-5.
  84. Denehy TR, Gregori CA, Breen JL. Endocervical curettage, cone margins, and residual adenocarcinoma in situ of the cervix. Obstetrics and gynecology. 1997;90:1-6.
  85. Rutgers JK, Roma AA, Park KJ, Zaino RJ, Johnson A, Alvarado I, et al. Pattern classification of endocervical adenocarcinoma: reproducibility and review of criteria. Modern pathology : an official journal of the United States and Canadian Academy of Pathology, Inc. 2016;29:1083-94.
  86. Kaku T, Kamura T, Shigematsu T, Sakai K, Nakanami N, Uehira K, et al. Adenocarcinoma of the uterine cervix with predominantly villogladular papillary growth pattern. Gynecol Oncol. 1997;64:147-52.
  87. Hart WR. Symposium part II: special types of adenocarcinoma of the uterine cervix. Int J Gynecol Pathol. 2002;21:327-46.
  88. An HJ, Kim KR, Kim IS, Kim DW, Park MH, Park IA, et al. Prevalence of human papillomavirus DNA in various histological subtypes of cervical adenocarcinoma: a population-based study. Modern pathology : an official journal of the United States and Canadian Academy of Pathology, Inc. 2005;18:528-34.
  89. McCluggage WG, Sumathi VP, McBride HA, Patterson A. A panel of immunohistochemical stains, including carcinoembryonic antigen, vimentin, and estrogen receptor, aids the distinction between primary endometrial and endocervical adenocarcinomas. Int J Gynecol Pathol. 2002;21:11-5.
  90. McCluggage WG, Jenkins D. p16 immunoreactivity may assist in the distinction between endometrial and endocervical adenocarcinoma. Int J Gynecol Pathol. 2003;22:231-5.
  91. Staebler A, Sherman ME, Zaino RJ, Ronnett BM. Hormone receptor immunohistochemistry and human papillomavirus in situ hybridization are useful for distinguishing endocervical and endometrial adenocarcinomas. The American journal of surgical pathology. 2002;26:998-1006.
  92. Pirog EC, Kleter B, Olgac S, Bobkiewicz P, Lindeman J, Quint WG, et al. Prevalence of human papillomavirus DNA in different histological subtypes of cervical adenocarcinoma. The American journal of pathology. 2000;157:1055-62.
  93. Zhou C, Gilks CB, Hayes M, Clement PB. Papillary Serous Carcinoma of the Uterine Cervix: A Clinicopathologic Study of 17 Cases. The American journal of surgical pathology. 1998;22:113-20.
  94. Grayson W, Rhemtula HA, Taylor LF, Allard U, Tiltman AJ. Detection of human papillomavirus in large cell neuroendocrine carcinoma of the uterine cervix: a study of 12 cases. Journal of clinical pathology. 2002;55:108-14.
  95. Yoon N, Kim J-Y, Kim H-S. Clinical outcomes of advanced-stage glassy cell carcinoma of the uterine cervix: a need for reappraisal. Oncotarget. 2016;7:78448-54.
  96. Grayson W, Taylor LF, Cooper K. Adenoid cystic and adenoid basal carcinoma of the uterine cervix: comparative morphologic, mucin, and immunohistochemical profile of two rare neoplasms of putative ‘reserve cell’ origin. The American journal of surgical pathology. 1999;23:448-58.
  97. Abu-Rustum NR, Yashar CM, Bean S, Bradley K, Campos SM, Chon HS, et al. NCCN Guidelines Insights: Cervical Cancer, Version 1.2020. 2020;18:660.
  98. Bray F, Ferlay J, Soerjomataram I, Siegel RL, Torre LA, Jemal A. Global cancer statistics 2018: GLOBOCAN estimates of incidence and mortality worldwide for 36 cancers in 185 countries. CA: A Cancer Journal for Clinicians. 2018;68:394-424.
  99. Shrivastava SK, Mahantshetty U, Narayan K. Principles of radiation therapy in low-resource and well-developed settings, with particular reference to cervical cancer. International Journal of Gynecology & Obstetrics. 2015;131:S153-S8.
  100. Andikyan V, Khoury-Collado F, Denesopolis J, Park KJ, Hussein YR, Brown CL, et al. Cervical conization and sentinel lymph node mapping in the treatment of stage I cervical cancer: is less enough? International journal of gynecological cancer : official journal of the International Gynecological Cancer Society. 2014;24:113-7.
  101. Koliopoulos G, Sotiriadis A, Kyrgiou M, Martin-Hirsch P, Makrydimas G, Paraskevaidis E. Conservative surgical methods for FIGO stage IA2 squamous cervical carcinoma and their role in preserving women’s fertility. Gynecol Oncol. 2004;93:469-73.
  102. Wright JD, NathavithArana R, Lewin SN, Sun X, Deutsch I, Burke WM, et al. Fertility-conserving surgery for young women with stage IA1 cervical cancer: safety and access. Obstetrics and gynecology. 2010;115:585-90.
  103. Ostör AG. Studies on 200 cases of early squamous cell carcinoma of the cervix. Int J Gynecol Pathol. 1993;12:193-207.
  104. Yoneda JY, Braganca JF, Sarian LO, Borba PP, Conceição JC, Zeferino LC. Surgical treatment of microinvasive cervical cancer: analysis of pathologic features with implications on radicality. International journal of gynecological cancer : official journal of the International Gynecological Cancer Society. 2015;25:694-8.
  105. Kokka F, Bryant A, Brockbank E, Jeyarajah A. Surgical treatment of stage IA2 cervical cancer. The Cochrane database of systematic reviews. 2014;2014:Cd010870.
  106. Keys HM, Bundy BN, Stehman FB, Muderspach LI, Chafe WE, Suggs CL, 3rd, et al. Cisplatin, radiation, and adjuvant hysterectomy compared with radiation and adjuvant hysterectomy for bulky stage IB cervical carcinoma. The New England journal of medicine. 1999;340:1154-61.
  107. Morris M, Eifel PJ, Lu J, Grigsby PW, Levenback C, Stevens RE, et al. Pelvic radiation with concurrent chemotherapy compared with pelvic and para-aortic radiation for high-risk cervical cancer. The New England journal of medicine. 1999;340:1137-43.
  108. Keys HM, Bundy BN, Stehman FB, Okagaki T, Gallup DG, Burnett AF, et al. Radiation therapy with and without extrafascial hysterectomy for bulky stage IB cervical carcinoma: a randomized trial of the Gynecologic Oncology Group. Gynecol Oncol. 2003;89:343-53.
  109. Kokka F, Bryant A, Brockbank E, Powell M, Oram D. Hysterectomy with radiotherapy or chemotherapy or both for women with locally advanced cervical cancer. The Cochrane database of systematic reviews. 2015:Cd010260.
  110. Azria E, Morice P, Haie-Meder C, Thoury A, Pautier P, Lhomme C, et al. Results of hysterectomy in patients with bulky residual disease at the end of chemoradiotherapy for stage IB2/II cervical carcinoma. Annals of surgical oncology. 2005;12:332-7.
  111. Sedlis A, Bundy BN, Rotman MZ, Lentz SS, Muderspach LI, Zaino RJ. A Randomized Trial of Pelvic Radiation Therapy versus No Further Therapy in Selected Patients with Stage IB Carcinoma of the Cervix after Radical Hysterectomy and Pelvic Lymphadenectomy: A Gynecologic Oncology Group Study. Gynecologic Oncology. 1999;73:177-83.
  112. Rotman M, Sedlis A, Piedmonte MR, Bundy B, Lentz SS, Muderspach LI, et al. A phase III randomized trial of postoperative pelvic irradiation in Stage IB cervical carcinoma with poor prognostic features: follow-up of a gynecologic oncology group study. Int J Radiat Oncol Biol Phys. 2006;65:169-76.
  113. Monk BJ, Wang J, Im S, Stock RJ, Peters WA, 3rd, Liu PY, et al. Rethinking the use of radiation and chemotherapy after radical hysterectomy: a clinical-pathologic analysis of a Gynecologic Oncology Group/Southwest Oncology Group/Radiation Therapy Oncology Group trial. Gynecol Oncol. 2005;96:721-8.
  114. Chernofsky MR, Felix JC, Muderspach LI, Morrow CP, Ye W, Groshen SG, et al. Influence of quantity of lymph vascular space invasion on time to recurrence in women with early-stage squamous cancer of the cervix. Gynecol Oncol. 2006;100:288-93.
  115. Marchiolé P, Buénerd A, Benchaib M, Nezhat K, Dargent D, Mathevet P. Clinical significance of lympho vascular space involvement and lymph node micrometastases in early-stage cervical cancer: a retrospective case-control surgico-pathological study. Gynecol Oncol. 2005;97:727-32.
  116. Diaz ES, Aoyama C, Baquing MA, Beavis A, Silva E, Holschneider C, et al. Predictors of residual carcinoma or carcinoma-in-situ at hysterectomy following cervical conization with positive margins. Gynecol Oncol. 2014;132:76-80.
  117. Estape RE, Angioli R, Madrigal M, Janicek M, Gomez C, Penalver M, et al. Close vaginal margins as a prognostic factor after radical hysterectomy. Gynecol Oncol. 1998;68:229-32.
  118. Peters WA, 3rd, Liu PY, Barrett RJ, 2nd, Stock RJ, Monk BJ, Berek JS, et al. Concurrent chemotherapy and pelvic radiation therapy compared with pelvic radiation therapy alone as adjuvant therapy after radical surgery in high-risk early-stage cancer of the cervix. Journal of clinical oncology : official journal of the American Society of Clinical Oncology. 2000;18:1606-13.
  119. Trifiletti DM, Swisher-McClure S, Showalter TN, Hegarty SE, Grover S. Postoperative Chemoradiation Therapy in High-Risk Cervical Cancer: Re-evaluating the Findings of Gynecologic Oncology Group Study 109 in a Large, Population-Based Cohort. Int J Radiat Oncol Biol Phys. 2015;93:1032-44.
  120. Gong L, Lou JY, Wang P, Zhang JW, Liu H, Peng ZL. Clinical evaluation of neoadjuvant chemotherapy followed by radical surgery in the management of stage IB2-IIB cervical cancer. International journal of gynaecology and obstetrics: the official organ of the International Federation of Gynaecology and Obstetrics. 2012;117:23-6.
  121. Eddy GL, Bundy BN, Creasman WT, Spirtos NM, Mannel RS, Hannigan E, et al. Treatment of (“bulky”) stage IB cervical cancer with or without neoadjuvant vincristine and cisplatin prior to radical hysterectomy and pelvic/para-aortic lymphadenectomy: a phase III trial of the gynecologic oncology group. Gynecol Oncol. 2007;106:362-9.
  122. Rydzewska L, Tierney J, Vale CL, Symonds PR. Neoadjuvant chemotherapy plus surgery versus surgery for cervical cancer. The Cochrane database of systematic reviews. 2010:Cd007406.
  123. Katsumata N, Yoshikawa H, Kobayashi H, Saito T, Kuzuya K, Nakanishi T, et al. Phase III randomised controlled trial of neoadjuvant chemotherapy plus radical surgery vs radical surgery alone for stages IB2, IIA2, and IIB cervical cancer: a Japan Clinical Oncology Group trial (JCOG 0102). British journal of cancer. 2013;108:1957-63.
  124. Kim HS, Sardi JE, Katsumata N, Ryu HS, Nam JH, Chung HH, et al. Efficacy of neoadjuvant chemotherapy in patients with FIGO stage IB1 to IIA cervical cancer: an international collaborative meta-analysis. European journal of surgical oncology : the journal of the European Society of Surgical Oncology and the British Association of Surgical Oncology. 2013;39:115-24.
  125. Landoni F, Sartori E, Maggino T, Zola P, Zanagnolo V, Cosio S, et al. Is there a role for postoperative treatment in patients with stage Ib2-IIb cervical cancer treated with neo-adjuvant chemotherapy and radical surgery? An Italian multicenter retrospective study. Gynecol Oncol. 2014;132:611-7.
  126. Ye Q, Yuan HX, Chen HL. Responsiveness of neoadjuvant chemotherapy before surgery predicts favorable prognosis for cervical cancer patients: a meta-analysis. Journal of cancer research and clinical oncology. 2013;139:1887-98.
  127. Gaffney DK, Erickson-Wittmann BA, Jhingran A, Mayr NA, Puthawala AA, Moore D, et al. ACR Appropriateness Criteria® on Advanced Cervical Cancer Expert Panel on Radiation Oncology-Gynecology. Int J Radiat Oncol Biol Phys. 2011;81:609-14.
  128. Monk BJ, Tewari KS, Koh WJ. Multimodality therapy for locally advanced cervical carcinoma: state of the art and future directions. Journal of clinical oncology : official journal of the American Society of Clinical Oncology. 2007;25:2952-65.
  129. Whitney CW, Sause W, Bundy BN, Malfetano JH, Hannigan EV, Fowler WC, Jr., et al. Randomized comparison of fluorouracil plus cisplatin versus hydroxyurea as an adjunct to radiation therapy in stage IIB-IVA carcinoma of the cervix with negative para-aortic lymph nodes: a Gynecologic Oncology Group and Southwest Oncology Group study. Journal of clinical oncology : official journal of the American Society of Clinical Oncology. 1999;17:1339-48.
  130. Rose PG, Bundy BN, Watkins EB, Thigpen JT, Deppe G, Maiman MA, et al. Concurrent cisplatin-based radiotherapy and chemotherapy for locally advanced cervical cancer. The New England journal of medicine. 1999;340:1144-53.
  131. Dueñas-González A, Zarbá JJ, Patel F, Alcedo JC, Beslija S, Casanova L, et al. Phase III, open-label, randomized study comparing concurrent gemcitabine plus cisplatin and radiation followed by adjuvant gemcitabine and cisplatin versus concurrent cisplatin and radiation in patients with stage IIB to IVA carcinoma of the cervix. Journal of clinical oncology : official journal of the American Society of Clinical Oncology. 2011;29:1678-85.
  132. Lutz ST, Chow EL, Hartsell WF, Konski AA. A review of hypofractionated palliative radiotherapy. Cancer. 2007;109:1462-70.
  133. Querleu D, Morrow CP. Classification of radical hysterectomy. The Lancet Oncology. 2008;9:297-303.
  134. Cibula D, Abu-Rustum NR, Benedetti-Panici P, Köhler C, Raspagliesi F, Querleu D, et al. New classification system of radical hysterectomy: emphasis on a three-dimensional anatomic template for parametrial resection. Gynecol Oncol. 2011;122:264-8.
  135. Ditto A, Martinelli F, Mattana F, Reato C, Solima E, Carcangiu M, et al. Class III nerve-sparing radical hysterectomy versus standard class III radical hysterectomy: an observational study. Annals of surgical oncology. 2011;18:3469-78.
  136. Raspagliesi F, Ditto A, Fontanelli R, Zanaboni F, Solima E, Spatti G, et al. Type II versus Type III nerve-sparing radical hysterectomy: comparison of lower urinary tract dysfunctions. Gynecol Oncol. 2006;102:256-62.
  137. CHAROENKWAN K, SRISOMBOON J, SUPRASERT P, TANTIPALAKORN C, KIETPEERAKOOL C. Nerve-sparing class III radical hysterectomy: a modified technique to spare the pelvic autonomic nerves without compromising radicality. International Journal of Gynecological Cancer. 2006;16:1705-12.
  138. Bentivegna E, Maulard A, Pautier P, Chargari C, Gouy S, Morice P. Fertility results and pregnancy outcomes after conservative treatment of cervical cancer: a systematic review of the literature. Fertility and sterility. 2016;106:1195-211.e5.
  139. Pikaart DP, Holloway RW, Ahmad S, Finkler NJ, Bigsby GEt, Ortiz BH, et al. Clinical-pathologic and morbidity analyses of Types 2 and 3 abdominal radical hysterectomy for cervical cancer. Gynecol Oncol. 2007;107:205-10.
  140. Samlal RAK, Velden JVD, Ketting BW, González DG, Kate FJWT, Hart AAM, et al. Disease-free interval and recurrence pattern after the Okabayashi variant of Wertheim’s radical hysterectomy for stage IB and IIA cervical carcinoma. International Journal of Gynecological Cancer. 1996;6:120-7.
  141. Achavanuntakul K, Charoenkwan K. Factors affecting operative blood loss from open radical hysterectomy and pelvic lymphadenectomy for early-stage cervical cancer. Archives of gynecology and obstetrics. 2012;286:1001-5.
  142. Sivanesaratnam V, Sen DK, Jayalakshmi P, Ong G. Radical hysterectomy and pelvic lymphadenectomy for early invasive cancer of the cervix – 14-year experience. International journal of gynecological cancer : official journal of the International Gynecological Cancer Society. 1993;3:231-8.
  143. Hacker NF, Barlow EL, Scurry J, Gebski V, Farrell R, Robertson G, et al. Primary surgical management with tailored adjuvant radiation for stage IB2 cervical cancer. Obstetrics and gynecology. 2013;121:765-72.
  144. Covens A, Rosen B, Gibbons A, Osborne R, Murphy J, DePetrillo A, et al. Differences in the Morbidity of Radical Hysterectomy between Gynecological Oncologists. Gynecologic Oncology. 1993;51:39-45.
  145. Bergmark K, Åvall-Lundqvist E, Dickman PW, Henningsohn L, Steineck G. Vaginal Changes and Sexuality in Women with a History of Cervical Cancer. New England Journal of Medicine. 1999;340:1383-9.
  146. Grumann M, Robertson R, Hacker NF, Sommer G. Sexual functioning in patients following radical hysterectomy for stage IB cancer of the cervix. International Journal of Gynecological Cancer. 2001;11:372-80.
  147. Xiao M, Gao H, Bai H, Zhang Z. Quality of life and sexuality in disease-free survivors of cervical cancer after radical hysterectomy alone: A comparison between total laparoscopy and laparotomy. Medicine. 2016;95:e4787.
  148. Nam JH, Park JY, Kim DY, Kim JH, Kim YM, Kim YT. Laparoscopic versus open radical hysterectomy in early-stage cervical cancer: long-term survival outcomes in a matched cohort study. Annals of oncology : official journal of the European Society for Medical Oncology. 2012;23:903-11.
  149. Wang YZ, Deng L, Xu HC, Zhang Y, Liang ZQ. Laparoscopy versus laparotomy for the management of early stage cervical cancer. BMC cancer. 2015;15:928.
  150. Sert BM, Boggess JF, Ahmad S, Jackson AL, Stavitzski NM, Dahl AA, et al. Robot-assisted versus open radical hysterectomy: A multi-institutional experience for early-stage cervical cancer. European journal of surgical oncology : the journal of the European Society of Surgical Oncology and the British Association of Surgical Oncology. 2016;42:513-22.
  151. Mendivil AA, Rettenmaier MA, Abaid LN, Brown JV, 3rd, Micha JP, Lopez KL, et al. Survival rate comparisons amongst cervical cancer patients treated with an open, robotic-assisted or laparoscopic radical hysterectomy: A five year experience. Surgical oncology. 2016;25:66-71.
  152. Park DA, Yun JE, Kim SW, Lee SH. Surgical and clinical safety and effectiveness of robot-assisted laparoscopic hysterectomy compared to conventional laparoscopy and laparotomy for cervical cancer: A systematic review and meta-analysis. European journal of surgical oncology : the journal of the European Society of Surgical Oncology and the British Association of Surgical Oncology. 2017;43:994-1002.
  153. Ramirez PT, Frumovitz M, Pareja R, Lopez A, Vieira M, Ribeiro R, et al. Minimally Invasive versus Abdominal Radical Hysterectomy for Cervical Cancer. New England Journal of Medicine. 2018;379:1895-904.
  154. Melamed A, Margul DJ, Chen L, Keating NL, Del Carmen MG, Yang J, et al. Survival after Minimally Invasive Radical Hysterectomy for Early-Stage Cervical Cancer. The New England journal of medicine. 2018;379:1905-14.
  155. Margul DJ, Yang J, Seagle BL, Kocherginsky M, Shahabi S. Outcomes and costs of open, robotic, and laparoscopic radical hysterectomy for stage IB1 cervical cancer. Journal of Clinical Oncology. 2018;36:5502-.
  156. Ramirez PT, Pareja R, Rendón GJ, Millan C, Frumovitz M, Schmeler KM. Management of low-risk early-stage cervical cancer: should conization, simple trachelectomy, or simple hysterectomy replace radical surgery as the new standard of care? Gynecologic oncology. 2014;132:254-9.
  157. Kinney WK, Hodge DO, Egorshin EV, Ballard DJ, Podratz KC. Identification of a low-risk subset of patients with stage IB invasive squamous cancer of the cervix possibly suited to less radical surgical treatment. Gynecol Oncol. 1995;57:3-6.
  158. Covens A, Rosen B, Murphy J, Laframboise S, DePetrillo AD, Lickrish G, et al. How important is removal of the parametrium at surgery for carcinoma of the cervix? Gynecol Oncol. 2002;84:145-9.
  159. Wright JD, Grigsby PW, Brooks R, Powell MA, Gibb RK, Gao F, et al. Utility of parametrectomy for early stage cervical cancer treated with radical hysterectomy. Cancer. 2007;110:1281-6.
  160. Frumovitz M, Sun CC, Schmeler KM, Deavers MT, Dos Reis R, Levenback CF, et al. Parametrial involvement in radical hysterectomy specimens for women with early-stage cervical cancer. Obstetrics and gynecology. 2009;114:93-9.
  161. Schmeler K, Pareja R, Lopez A, Fregnani J, Lopes A, Perrotta M, et al. 23 Concerv: a prospective trial of conservative surgery for low-risk early stage cervical cancer. International Journal of Gynecologic Cancer. 2019;29:A14-A5.
  162. Bats AS, Mathevet P, Buenerd A, Orliaguet I, Mery E, Zerdoud S, et al. The sentinel node technique detects unexpected drainage pathways and allows nodal ultrastaging in early cervical cancer: insights from the multicenter prospective SENTICOL study. Annals of surgical oncology. 2013;20:413-22.
  163. Cormier B, Diaz JP, Shih K, Sampson RM, Sonoda Y, Park KJ, et al. Establishing a sentinel lymph node mapping algorithm for the treatment of early cervical cancer. Gynecol Oncol. 2011;122:275-80.
  164. Frumovitz M, Plante M, Lee PS, Sandadi S, Lilja JF, Escobar PF, et al. Near-infrared fluorescence for detection of sentinel lymph nodes in women with cervical and uterine cancers (FILM): a randomised, phase 3, multicentre, non-inferiority trial. The Lancet Oncology. 2018;19:1394-403.
  165. Altgassen C, Hertel H, Brandstädt A, Köhler C, Dürst M, Schneider A. Multicenter Validation Study of the Sentinel Lymph Node Concept in Cervical Cancer: AGO Study Group. Journal of Clinical Oncology. 2008;26:2943-51.
  166. Salvo G, Ramirez PT, Levenback CF, Munsell MF, Euscher ED, Soliman PT, et al. Sensitivity and negative predictive value for sentinel lymph node biopsy in women with early-stage cervical cancer. Gynecol Oncol. 2017;145:96-101.
  167. Dundr P, Cibula D, Němejcová K, Tichá I, Bártů M, Jakša R. Pathologic Protocols for Sentinel Lymph Nodes Ultrastaging in Cervical Cancer. Archives of pathology & laboratory medicine. 2019.
  168. Eifel PJ, Winter K, Morris M, Levenback C, Grigsby PW, Cooper J, et al. Pelvic irradiation with concurrent chemotherapy versus pelvic and para-aortic irradiation for high-risk cervical cancer: an update of radiation therapy oncology group trial (RTOG) 90-01. Journal of clinical oncology : official journal of the American Society of Clinical Oncology. 2004;22:872-80.
  169. Rotman M, Pajak TF, Choi K, Clery M, Marcial V, Grigsby PW, et al. Prophylactic extended-field irradiation of para-aortic lymph nodes in stages IIB and bulky IB and IIA cervical carcinomas. Ten-year treatment results of RTOG 79-20. Jama. 1995;274:387-93.
  170. Rose PG, Ali S, Watkins E, Thigpen JT, Deppe G, Clarke-Pearson DL, et al. Long-term follow-up of a randomized trial comparing concurrent single agent cisplatin, cisplatin-based combination chemotherapy, or hydroxyurea during pelvic irradiation for locally advanced cervical cancer: a Gynecologic Oncology Group Study. Journal of clinical oncology : official journal of the American Society of Clinical Oncology. 2007;25:2804-10.
  171. Petereit DG, Sarkaria JN, Chappell R, Fowler JF, Hartmann TJ, Kinsella TJ, et al. The adverse effect of treatment prolongation in cervical carcinoma. Int J Radiat Oncol Biol Phys. 1995;32:1301-7.
  172. Monk BJ, Tian C, Rose PG, Lanciano R. Which clinical/pathologic factors matter in the era of chemoradiation as treatment for locally advanced cervical carcinoma? Analysis of two Gynecologic Oncology Group (GOG) trials. Gynecologic oncology. 2007;105:427-33.
  173. Rogers L, Siu SS, Luesley D, Bryant A, Dickinson HO. Radiotherapy and chemoradiation after surgery for early cervical cancer. The Cochrane database of systematic reviews. 2012;5:Cd007583.
  174. Chino J, Annunziata CM, Beriwal S, Bradfield L, Erickson BA, Fields EC, et al. Radiation Therapy for Cervical Cancer: Executive Summary of an ASTRO Clinical Practice Guideline. Practical Radiation Oncology. 2020;10:220-34.
  175. Kridelka FJ, Berg DO, Neuman M, Edwards LS, Robertson G, Grant PT, et al. Adjuvant small field pelvic radiation for patients with high risk, stage IB lymph node negative cervix carcinoma after radical hysterectomy and pelvic lymph node dissection. A pilot study. Cancer. 1999;86:2059-65.
  176. Ohara K, Tsunoda H, Nishida M, Sugahara S, Hashimoto T, Shioyama Y, et al. Use of small pelvic field instead of whole pelvic field in postoperative radiotherapy for node-negative, high-risk stages I and II cervical squamous cell carcinoma. International journal of gynecological cancer : official journal of the International Gynecological Cancer Society. 2003;13:170-6.
  177. Ohara K, Tsunoda H, Satoh T, Oki A, Sugahara S, Yoshikawa H. Use of the small pelvic field instead of the classic whole pelvic field in postoperative radiotherapy for cervical cancer: reduction of adverse events. Int J Radiat Oncol Biol Phys. 2004;60:258-64.
  178. Luo H-C, Lin G-S, Liao S-G, Wang F-M, Cheng H-H, Feng J, et al. Cervical cancer treated with reduced-volume intensity-modulated radiation therapy base on Sedlis criteria (NCCN VS RTOG). The British Journal of Radiology. 2017;91:20170398.
  179. Du X-l, Tao J, Sheng X-g, Lu C-h, Yu H, Wang C, et al. Intensity-modulated radiation therapy for advanced cervical cancer: A comparison of dosimetric and clinical outcomes with conventional radiotherapy. Gynecologic Oncology. 2012;125:151-7.
  180. Gandhi AK, Sharma DN, Rath GK, Julka PK, Subramani V, Sharma S, et al. Early Clinical Outcomes and Toxicity of Intensity Modulated Versus Conventional Pelvic Radiation Therapy for Locally Advanced Cervix Carcinoma: A Prospective Randomized Study. International Journal of Radiation Oncology*Biology*Physics. 2013;87:542-8.
  181. Mell LK, Sirák I, Wei L, Tarnawski R, Mahantshetty U, Yashar CM, et al. Bone Marrow-sparing Intensity Modulated Radiation Therapy With Concurrent Cisplatin For Stage IB-IVA Cervical Cancer: An International Multicenter Phase II Clinical Trial (INTERTECC-2). International Journal of Radiation Oncology*Biology*Physics. 2017;97:536-45.
  182. Klopp AH, Yeung AR, Deshmukh S, Gil KM, Wenzel L, Westin SN, et al. Patient-Reported Toxicity During Pelvic Intensity-Modulated Radiation Therapy: NRG Oncology–RTOG 1203. Journal of Clinical Oncology. 2018;36:2538-44.
  183. Randall ME, Ibbott GS. Intensity-modulated radiation therapy for gynecologic cancers: pitfalls, hazards, and cautions to be considered. Seminars in radiation oncology. 2006;16:138-43.
  184. Han K, Milosevic M, Fyles A, Pintilie M, Viswanathan AN. Trends in the Utilization of Brachytherapy in Cervical Cancer in the United States. International Journal of Radiation Oncology*Biology*Physics. 2013;87:111-9.
  185. Gill BS, Lin JF, Krivak TC, Sukumvanich P, Laskey RA, Ross MS, et al. National Cancer Data Base Analysis of Radiation Therapy Consolidation Modality for Cervical Cancer: The Impact of New Technological Advancements. International Journal of Radiation Oncology*Biology*Physics. 2014;90:1083-90.
  186. Haie-Meder C, Pötter R, Van Limbergen E, Briot E, De Brabandere M, Dimopoulos J, et al. Recommendations from Gynaecological (GYN) GEC-ESTRO Working Group☆ (I): concepts and terms in 3D image based 3D treatment planning in cervix cancer brachytherapy with emphasis on MRI assessment of GTV and CTV. Radiotherapy and Oncology. 2005;74:235-45.
  187. Tanderup K, Fokdal LU, Sturdza A, Haie-Meder C, Mazeron R, van Limbergen E, et al. Effect of tumor dose, volume and overall treatment time on local control after radiochemotherapy including MRI guided brachytherapy of locally advanced cervical cancer. Radiotherapy and Oncology. 2016;120:441-6.
  188. Sturdza A, Pötter R, Fokdal LU, Haie-Meder C, Tan LT, Mazeron R, et al. Image guided brachytherapy in locally advanced cervical cancer: Improved pelvic control and survival in RetroEMBRACE, a multicenter cohort study. Radiotherapy and Oncology. 2016;120:428-33.
  189. Pötter R, Tanderup K, Kirisits C, de Leeuw A, Kirchheiner K, Nout R, et al. The EMBRACE II study: The outcome and prospect of two decades of evolution within the GEC-ESTRO GYN working group and the EMBRACE studies. Clinical and translational radiation oncology. 2018;9:48-60.
  190. Prescribing, Recording, and Reporting Brachytherapy for Cancer of the Cervix. Journal of the ICRU. 2013;13:Np.
  191. Pearcey R, Brundage M, Drouin P, Jeffrey J, Johnston D, Lukka H, et al. Phase III trial comparing radical radiotherapy with and without cisplatin chemotherapy in patients with advanced squamous cell cancer of the cervix. Journal of clinical oncology : official journal of the American Society of Clinical Oncology. 2002;20:966-72.
  192. Perez CA, Grigsby PW, Lockett MA, Chao KS, Williamson J. Radiation therapy morbidity in carcinoma of the uterine cervix: dosimetric and clinical correlation. Int J Radiat Oncol Biol Phys. 1999;44:855-66.
  193. Singh RB, Chander S, Mohanti BK, Pathy S, Kumar S, Bhatla N, et al. Neoadjuvant chemotherapy with weekly paclitaxel and carboplatin followed by chemoradiation in locally advanced cervical carcinoma: a pilot study. Gynecol Oncol. 2013;129:124-8.
  194. McCormack M, Kadalayil L, Hackshaw A, Hall-Craggs MA, Symonds RP, Warwick V, et al. A phase II study of weekly neoadjuvant chemotherapy followed by radical chemoradiation for locally advanced cervical cancer. British journal of cancer. 2013;108:2464-9.
  195. Runowicz CD, Wadler S, Rodriguez-Rodriguez L, Litwin P, Shaves M, O’Hanlan KA, et al. Concomitant cisplatin and radiotherapy in locally advanced cervical carcinoma. Gynecol Oncol. 1989;34:395-401.
  196. Malfetano J, Kredentser D, Cunningham M, Kotlove D, Weiss L, Keys H. Weekly cisplatin and radical radiation therapy for advanced, recurrent, and poor prognosis cervical carcinoma. Cancer. 1993;71:3703-6.
  197. Malfetano JH, Keys H, Cunningham MJ, Gibbons S, Ambros R. Extended field radiation and cisplatin for stage IIB and IIIB cervical carcinoma. Gynecol Oncol. 1997;67:203-7.
  198. Green J, Kirwan J, Tierney J, Vale C, Symonds P, Fresco L, et al. Concomitant chemotherapy and radiation therapy for cancer of the uterine cervix. The Cochrane database of systematic reviews. 2005:Cd002225.
  199. Tattersall MH, Ramirez C, Coppleson M. A randomized trial of adjuvant chemotherapy after radical hysterectomy in stage Ib-IIa cervical cancer patients with pelvic lymph node metastases. Gynecol Oncol. 1992;46:176-81.
  200. Falcetta FS, Medeiros LR, Edelweiss MI, Pohlmann PR, Stein AT, Rosa DD. Adjuvant platinum-based chemotherapy for early stage cervical cancer. The Cochrane database of systematic reviews. 2016;11:CD005342-CD.
  201. Tangjitgamol S, Tharavichitkul E, Tovanabutra C, Rongsriyam K, Asakij T, Paengchit K, et al. A randomized controlled trial comparing concurrent chemoradiation versus concurrent chemoradiation followed by adjuvant chemotherapy in locally advanced cervical cancer patients: ACTLACC trial. Journal of gynecologic oncology. 2019;30:e82.
  202. Monk BJ, Huang HQ, Cella D, Long HJ, 3rd. Quality of life outcomes from a randomized phase III trial of cisplatin with or without topotecan in advanced carcinoma of the cervix: a Gynecologic Oncology Group Study. Journal of clinical oncology : official journal of the American Society of Clinical Oncology. 2005;23:4617-25.
  203. Thigpen T, Shingleton H, Homesley H, Lagasse L, Blessing J. Cis-platinum in treatment of advanced or recurrent squamous cell carcinoma of the cervix: A phase ii study of the gynecologic oncology group. Cancer. 1981;48:899-903.
  204. Moore DH, Blessing JA, McQuellon RP, Thaler HT, Cella D, Benda J, et al. Phase III study of cisplatin with or without paclitaxel in stage IVB, recurrent, or persistent squamous cell carcinoma of the cervix: a gynecologic oncology group study. Journal of clinical oncology : official journal of the American Society of Clinical Oncology. 2004;22:3113-9.
  205. Long HJ, 3rd, Bundy BN, Grendys EC, Jr., Benda JA, McMeekin DS, Sorosky J, et al. Randomized phase III trial of cisplatin with or without topotecan in carcinoma of the uterine cervix: a Gynecologic Oncology Group Study. Journal of clinical oncology : official journal of the American Society of Clinical Oncology. 2005;23:4626-33.
  206. Monk BJ, Sill MW, McMeekin DS, Cohn DE, Ramondetta LM, Boardman CH, et al. Phase III trial of four cisplatin-containing doublet combinations in stage IVB, recurrent, or persistent cervical carcinoma: a Gynecologic Oncology Group study. Journal of clinical oncology : official journal of the American Society of Clinical Oncology. 2009;27:4649-55.
  207. Tewari KS, Sill MW, Long HJ, 3rd, Penson RT, Huang H, Ramondetta LM, et al. Improved survival with bevacizumab in advanced cervical cancer. The New England journal of medicine. 2014;370:734-43.
  208. Rosen VM, Guerra I, McCormack M, Nogueira-Rodrigues A, Sasse A, Munk VC, et al. Systematic Review and Network Meta-Analysis of Bevacizumab Plus First-Line Topotecan-Paclitaxel or Cisplatin-Paclitaxel Versus Non-Bevacizumab-Containing Therapies in Persistent, Recurrent, or Metastatic Cervical Cancer. International journal of gynecological cancer : official journal of the International Gynecological Cancer Society. 2017;27:1237-46.
  209. Symonds RP, Gourley C, Davidson S, Carty K, McCartney E, Rai D, et al. Cediranib combined with carboplatin and paclitaxel in patients with metastatic or recurrent cervical cancer (CIRCCa): a randomised, double-blind, placebo-controlled phase 2 trial. The Lancet Oncology. 2015;16:1515-24.
  210. Harkenrider MM, Markham MJ, Dizon DS, Jhingran A, Salani R, Serour RK, et al. Moving Forward in Cervical Cancer: Enhancing Susceptibility to DNA Repair Inhibition and Damage, an NCI Clinical Trials Planning Meeting Report. JNCI: Journal of the National Cancer Institute. 2020.
  211. Su YF, Wu TF, Ko JL, Tsai HT, Tee YT, Chien MH, et al. The expression of ribonucleotide reductase M2 in the carcinogenesis of uterine cervix and its relationship with clinicopathological characteristics and prognosis of cancer patients. PloS one. 2014;9:e91644.
  212. Lee Y-Y, Cho Y-J, Shin S-w, Choi C, Ryu J-Y, Jeon H-K, et al. Anti-Tumor Effects of Wee1 Kinase Inhibitor with Radiotherapy in Human Cervical Cancer. Scientific Reports. 2019;9:15394.
  213. Kunos C, Deng W, Dawson D, Lea JS, Zanotti KM, Gray HJ, et al. A phase I-II evaluation of veliparib (NSC #737664), topotecan, and filgrastim or pegfilgrastim in the treatment of persistent or recurrent carcinoma of the uterine cervix: an NRG Oncology/Gynecologic Oncology Group study. International journal of gynecological cancer : official journal of the International Gynecological Cancer Society. 2015;25:484-92.
  214. Thaker PH, Salani R, Brady WE, Lankes HA, Cohn DE, Mutch DG, et al. A phase I trial of paclitaxel, cisplatin, and veliparib in the treatment of persistent or recurrent carcinoma of the cervix: an NRG Oncology Study (NCT#01281852). Annals of oncology : official journal of the European Society for Medical Oncology. 2017;28:505-11.
  215. Kang S, Kim HS, Seo SS, Park SY, Sidransky D, Dong SM. Inverse correlation between RASSF1A hypermethylation, KRAS and BRAF mutations in cervical adenocarcinoma. Gynecol Oncol. 2007;105:662-6.
  216. McIntyre JB, Wu JS, Craighead PS, Phan T, Köbel M, Lees-Miller SP, et al. PIK3CA mutational status and overall survival in patients with cervical cancer treated with radical chemoradiotherapy. Gynecol Oncol. 2013;128:409-14.
  217. Wingo SN, Gallardo TD, Akbay EA, Liang MC, Contreras CM, Boren T, et al. Somatic LKB1 mutations promote cervical cancer progression. PloS one. 2009;4:e5137.
  218. Integrated genomic and molecular characterization of cervical cancer. Nature. 2017;543:378-84.
  219. Frenel JS, Le Tourneau C, O’Neil B, Ott PA, Piha-Paul SA, Gomez-Roca C, et al. Safety and Efficacy of Pembrolizumab in Advanced, Programmed Death Ligand 1-Positive Cervical Cancer: Results From the Phase Ib KEYNOTE-028 Trial. Journal of clinical oncology : official journal of the American Society of Clinical Oncology. 2017;35:4035-41.
  220. Chung HC, Ros W, Delord JP, Perets R, Italiano A, Shapira-Frommer R, et al. Efficacy and Safety of Pembrolizumab in Previously Treated Advanced Cervical Cancer: Results From the Phase II KEYNOTE-158 Study. Journal of clinical oncology : official journal of the American Society of Clinical Oncology. 2019;37:1470-8.
  221. Lee JM, Cimino-Mathews A, Peer CJ, Zimmer A, Lipkowitz S, Annunziata CM, et al. Safety and Clinical Activity of the Programmed Death-Ligand 1 Inhibitor Durvalumab in Combination With Poly (ADP-Ribose) Polymerase Inhibitor Olaparib or Vascular Endothelial Growth Factor Receptor 1-3 Inhibitor Cediranib in Women’s Cancers: A Dose-Escalation, Phase I Study. Journal of clinical oncology : official journal of the American Society of Clinical Oncology. 2017;35:2193-202.
  222. Sternberg A. Cemiplimab Impresses in a Phase 3 Trial of Cervical Cancer, Regulatory Submission Expected. 2021.
  223. Elit L, Fyles AW, Devries MC, Oliver TK, Fung-Kee-Fung M. Follow-up for women after treatment for cervical cancer: a systematic review. Gynecol Oncol. 2009;114:528-35.
  224. Salani R, Khanna N, Frimer M, Bristow RE, Chen LM. An update on post-treatment surveillance and diagnosis of recurrence in women with gynecologic malignancies: Society of Gynecologic Oncology (SGO) recommendations. Gynecol Oncol. 2017;146:3-10.
  225. Chaturvedi AK, Engels EA, Gilbert ES, Chen BE, Storm H, Lynch CF, et al. Second cancers among 104,760 survivors of cervical cancer: evaluation of long-term risk. Journal of the National Cancer Institute. 2007;99:1634-43.
  226. Chaturvedi AK, Kleinerman RA, Hildesheim A, Gilbert ES, Storm H, Lynch CF, et al. Second cancers after squamous cell carcinoma and adenocarcinoma of the cervix. Journal of clinical oncology : official journal of the American Society of Clinical Oncology. 2009;27:967-73.
  227. Hong JH, Tsai CS, Lai CH, Chang TC, Wang CC, Chou HH, et al. Recurrent squamous cell carcinoma of cervix after definitive radiotherapy. Int J Radiat Oncol Biol Phys. 2004;60:249-57.
  228. Kim JS, Kim JS, Kim SY, Kim K, Cho MJ. Hyperfractionated radiotherapy with concurrent chemotherapy for para-aortic lymph node recurrence in carcinoma of the cervix. Int J Radiat Oncol Biol Phys. 2003;55:1247-53.
  229. Chung YL, Jian JJ, Cheng SH, Hsieh CI, Tan TD, Chang HJ, et al. Extended-field radiotherapy and high-dose-rate brachytherapy with concurrent and adjuvant cisplatin-based chemotherapy for locally advanced cervical cancer: a phase I/II study. Gynecol Oncol. 2005;97:126-35.
  230. Diver EJ, Rauh-Hain JA, Del Carmen MG. Total pelvic exenteration for gynecologic malignancies. Int J Surg Oncol. 2012;2012:693535-.
  231. Thomas GM, Dembo AJ, Myhr T, Black B, Pringle JF, Rawlings G. Long-term results of concurrent radiation and chemotherapy for carcinoma of the cervix recurrent after surgery. International journal of gynecological cancer : official journal of the International Gynecological Cancer Society. 1993;3:193-8.
  232. Im JH, Yoon HI, Kim S, Nam EJ, Kim SW, Yim GW, et al. Tailored radiotherapeutic strategies for disseminated uterine cervical cancer patients. Radiation oncology (London, England). 2015;10:77.
  233. Kim JY, Kim JY, Kim JH, Yoon MS, Kim J, Kim YS. Curative chemoradiotherapy in patients with stage IVB cervical cancer presenting with paraortic and left supraclavicular lymph node metastases. Int J Radiat Oncol Biol Phys. 2012;84:741-7.
  234. Eleje GU, Eke AC, Igberase GO, Igwegbe AO, Eleje LI. Palliative interventions for controlling vaginal bleeding in advanced cervical cancer. The Cochrane database of systematic reviews. 2019;3:Cd011000.
  235. Smith SC, Koh WJ. Palliative radiation therapy for gynaecological malignancies. Best practice & research Clinical obstetrics & gynaecology. 2001;15:265-78.
  236. Chen SW, Liang JA, Yang SN, Lin FJ. Postoperative radiotherapy for patients with invasive cervical cancer following treatment with simple hysterectomy. Japanese journal of clinical oncology. 2003;33:477-81.
  237. Al-Halal H, Kezouh A, Abenhaim HA. Incidence and obstetrical outcomes of cervical intraepithelial neoplasia and cervical cancer in pregnancy: a population-based study on 8.8 million births. Archives of gynecology and obstetrics. 2013;287:245-50.
  238. Takushi M, Moromizato H, Sakumoto K, Kanazawa K. Management of invasive carcinoma of the uterine cervix associated with pregnancy: outcome of intentional delay in treatment. Gynecol Oncol. 2002;87:185-9.
  239. Jain AG, Higgins RV, Boyle MJ. Management of low-grade squamous intraepithelial lesions during pregnancy. American journal of obstetrics and gynecology. 1997;177:298-302.
  240. Paraskevaidis E, Koliopoulos G, Kalantaridou S, Pappa L, Navrozoglou I, Zikopoulos K, et al. Management and evolution of cervical intraepithelial neoplasia during pregnancy and postpartum. European journal of obstetrics, gynecology, and reproductive biology. 2002;104:67-9.
  241. Ahdoot D, Van Nostrand KM, Nguyen NJ, Tewari DS, Kurasaki T, DiSaia PJ, et al. The effect of route of delivery on regression of abnormal cervical cytologic findings in the postpartum period. American journal of obstetrics and gynecology. 1998;178:1116-20.
  242. Amant F, Berveiller P, Boere IA, Cardonick E, Fruscio R, Fumagalli M, et al. Gynecologic cancers in pregnancy: guidelines based on a third international consensus meeting. Annals of oncology : official journal of the European Society for Medical Oncology. 2019;30:1601-12.
  243. Clifford GM, Gonçalves MA, Franceschi S. Human papillomavirus types among women infected with HIV: a meta-analysis. AIDS (London, England). 2006;20:2337-44.
  244. Palefsky JM, Minkoff H, Kalish LA, Levine A, Sacks HS, Garcia P, et al. Cervicovaginal human papillomavirus infection in human immunodeficiency virus-1 (HIV)-positive and high-risk HIV-negative women. Journal of the National Cancer Institute. 1999;91:226-36.
  245. Massad LS, Ahdieh L, Benning L, Minkoff H, Greenblatt RM, Watts H, et al. Evolution of cervical abnormalities among women with HIV-1: evidence from surveillance cytology in the women’s interagency HIV study. Journal of acquired immune deficiency syndromes (1999). 2001;27:432-42.
  246. Chaturvedi AK, Madeleine MM, Biggar RJ, Engels EA. Risk of human papillomavirus-associated cancers among persons with AIDS. Journal of the National Cancer Institute. 2009;101:1120-30.
  247. Clifford GM, Polesel J, Rickenbach M, Dal Maso L, Keiser O, Kofler A, et al. Cancer risk in the Swiss HIV Cohort Study: associations with immunodeficiency, smoking, and highly active antiretroviral therapy. Journal of the National Cancer Institute. 2005;97:425-32.
  248. Kojic EM, Kang M, Cespedes MS, Umbleja T, Godfrey C, Allen RT, et al. Immunogenicity and safety of the quadrivalent human papillomavirus vaccine in HIV-1-infected women. Clinical infectious diseases : an official publication of the Infectious Diseases Society of America. 2014;59:127-35.
  249. McClymont E, Lee M, Raboud J, Coutlée F, Walmsley S, Lipsky N, et al. The Efficacy of the Quadrivalent Human Papillomavirus Vaccine in Girls and Women Living With Human Immunodeficiency Virus. Clinical infectious diseases : an official publication of the Infectious Diseases Society of America. 2019;68:788-94.